Phone:
+1 877 302 8632
Fax:
+1 888 205 9894 (Toll-free)
E-Mail:
orders@antibodies-online.com

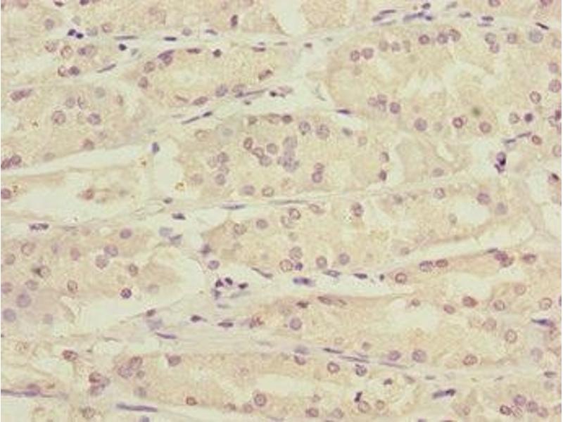
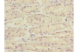
KLF15 antibody (AA 1-260)

This Rabbit Polyclonal antibody specifically detects KLF15 in ELISA and IHC. It exhibits reactivity toward Human.
Catalog No. ABIN7157720
$394.68
Plus shipping costs $50.00
Shipping to: United States
Delivery in 13 to 17 Business Days

Quick Overview for KLF15 antibody (AA 1-260) (ABIN7157720)

Target

See all KLF15 Antibodies
KLF15 (Kruppel-Like Factor 15 (KLF15))

Reactivity

  • 38
  • 5
  • 4
  • 2
  • 2
  • 2
  • 2
  • 2
  • 1
  • 1
Human

Host

  • 31
  • 6
  • 1
Rabbit

Clonality

  • 33
  • 5
Polyclonal

Conjugate

  • 26
  • 2
  • 1
  • 1
  • 1
  • 1
  • 1
  • 1
  • 1
  • 1
  • 1
  • 1
This KLF15 antibody is un-conjugated

Application

  • 31
  • 14
  • 6
  • 4
  • 2
  • 1
  • 1
  • 1
  • 1
ELISA, Immunohistochemistry (IHC)
  • Binding Specificity

    • 8
    • 5
    • 4
    • 2
    • 2
    • 1
    • 1
    • 1
    • 1
    • 1
    • 1
    • 1
    • 1
    • 1
    AA 1-260

    Purpose

    KLF15 Antibody

    Purification

    Antigen Affinity Purified

    Immunogen

    Recombinant Human Krueppel-like factor 15 protein (1-260AA)

    Isotype

    IgG
  • Application Notes

    Optimal working dilution should be determined by the investigator.

    Restrictions

    For Research Use only
  • Format

    Liquid

    Buffer

    PBS with 0.02 % sodium azide, 50 % glycerol, pH 7.3.

    Preservative

    Sodium azide

    Precaution of Use

    This product contains Sodium azide: a POISONOUS AND HAZARDOUS SUBSTANCE which should be handled by trained staff only.

    Storage

    -20 °C,-80 °C

    Storage Comment

    Upon receipt, store at -20°C or -80°C. Avoid repeated freeze.
  • Target

    KLF15 (Kruppel-Like Factor 15 (KLF15))

    Alternative Name

    KLF15

    Background

    Background: Transcriptional regulator that binds to the GA element of the CLCNKA promoter. Binds to the KCNIP2 promoter and regulates KCNIP2 circadian expression in the heart (By similarity). Is a repressor of CTGF expression, involved in the control of cardiac fibrosis. It is also involved in the control of cardiac hypertrophy acting through the inhibition of MEF2A and GATA4 (By similarity). Involved in podocyte differentiation (By similarity). Inhibits MYOCD activity. Is a negative regulator of TP53 acetylation. Inhibits NF-kappa-B activation through repression of EP300-dependent RELA acetylation.

    Aliases: Kidney enriched Kruppel like factor antibody, Kidney-enriched krueppel-like factor antibody, KKLF antibody, KKLF protein antibody, KLF 15 antibody, KLF15 antibody, KLF15_HUMAN antibody, Krueppel-like factor 15 antibody, Kruppel like factor 15 antibody

    UniProt

    Q9UIH9
You are here:
Chat with us!