Phone:
+1 877 302 8632
Fax:
+1 888 205 9894 (Toll-free)
E-Mail:
orders@antibodies-online.com

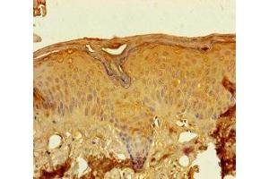
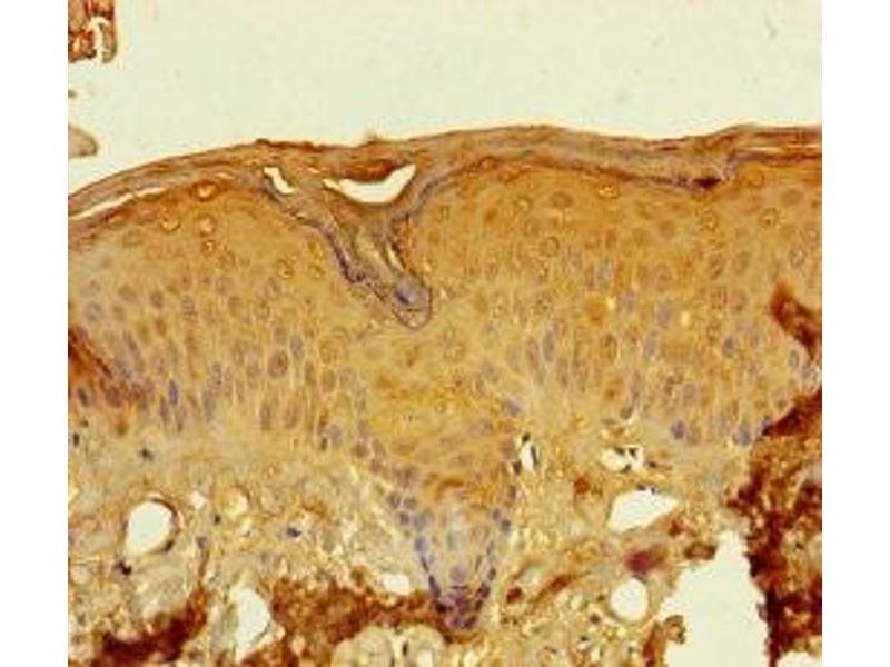
LCE2A antibody (AA 1-106)

The Rabbit Polyclonal anti-LCE2A antibody is suitable to detect LCE2A in samples from Human. It has been validated for ELISA and IHC.
Catalog No. ABIN7157925
$394.68
Plus shipping costs $50.00
Shipping to: United States
Delivery in 13 to 17 Business Days

Quick Overview for LCE2A antibody (AA 1-106) (ABIN7157925)

Target

See all LCE2A Antibodies
LCE2A (Late Cornified Envelope 2A (LCE2A))

Reactivity

Human

Host

  • 4
Rabbit

Clonality

  • 4
Polyclonal

Conjugate

  • 2
  • 1
  • 1
This LCE2A antibody is un-conjugated

Application

ELISA, Immunohistochemistry (IHC)
  • Binding Specificity

    AA 1-106

    Purpose

    LCE2A Antibody

    Purification

    Protein G purified

    Purity

    >95 %

    Immunogen

    Recombinant Human Late cornified envelope protein 2A protein (1-106AA)

    Isotype

    IgG
  • Application Notes

    Optimal working dilution should be determined by the investigator.

    Restrictions

    For Research Use only
  • Format

    Liquid

    Buffer

    Preservative: 0.03 % Proclin 300
    Constituents: 50 % Glycerol, 0.01M PBS, PH 7.4

    Preservative

    ProClin

    Precaution of Use

    This product contains ProClin: a POISONOUS AND HAZARDOUS SUBSTANCE which should be handled by trained staff only.

    Storage

    -20 °C,-80 °C

    Storage Comment

    Upon receipt, store at -20°C or -80°C. Avoid repeated freeze.
  • Target

    LCE2A (Late Cornified Envelope 2A (LCE2A))

    Alternative Name

    LCE2A

    Background

    Background: Precursors of the cornified envelope of the stratum corneum.

    Aliases: LCE2A antibody, LEP9Late cornified envelope protein 2A antibody, Late envelope protein 9 antibody

    UniProt

    Q5TA79
You are here:
Chat with us!