×
For best experience we recommend to activate Javascript in your browser.
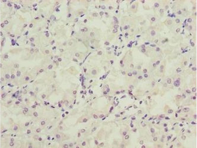
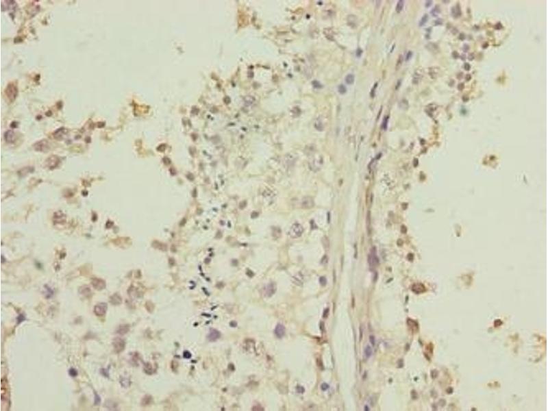
LRRC20 antibody (AA 1-184)
The Rabbit Polyclonal anti-LRRC20 antibody (ABIN7158154) specifically detects LRRC20 in ELISA, WB and IHC.
The antibody is reactive with Human samples.
Catalog No. ABIN7158154
$394.68
Plus shipping costs $50.00
50 μg ABIN7357014
100 μg ABIN7158154
50 μg ABIN7357014
100 μg ABIN7158154
Delivery in 13 to 17 Business Days
Quick Overview for LRRC20 antibody (AA 1-184) (ABIN7158154)
Target
LRRC20
(Leucine Rich Repeat Containing 20 (LRRC20))
Reactivity
All reactivities for LRRC20 antibodies
Human
Host
All hosts for LRRC20 antibodies
Rabbit
Clonality
All clonalities for LRRC20 antibodies
Polyclonal
Conjugate
All conjugates for LRRC20 antibodies
This LRRC20 antibody is un-conjugated
Application
ELISA, Western Blotting (WB), Immunohistochemistry (IHC)
Product Details anti-LRRC20 Antibody
(hide)
Binding Specificity
All epitopes for LRRC20 antibodies
AA 1-184
Purpose
LRRC20 Antibody
Cross-Reactivity
Mouse
Purification
Antigen Affinity Purified
Immunogen
Recombinant Human Leucine-rich repeat-containing protein 20 protein (1-184AA)
Isotype
IgG
Alternatives
(show)
Application Details
(hide)
Application Notes
Optimal working dilution should be determined by the investigator.
Restrictions
For Research Use only
Handling
(hide)
Format
Liquid
Buffer
Preservative: 0.03 % Proclin 300 Constituents: 50 % Glycerol, 0.01M PBS, PH 7.4
Preservative
ProClin
Precaution of Use
This product contains ProClin: a POISONOUS AND HAZARDOUS SUBSTANCE which should be handled by trained staff only.
Storage
-20 °C,-80 °C
Storage Comment
Upon receipt, store at -20°C or -80°C. Avoid repeated freeze.
Target Details for LRRC20
(hide)
Target
LRRC20
(Leucine Rich Repeat Containing 20 (LRRC20))
Alternative Name
LRRC20
Background
BC036304 antibody, FLJ10751 antibody, FLJ10844 antibody, Leucine rich repeat containing 20 antibody, Leucine rich repeat containing protein 20 antibody, Leucine-rich repeat-containing protein 20 antibody, LRC20_HUMAN antibody, Lrrc20 antibody, MGC25719 antibody, OTTHUMP00000019752 antibody, OTTHUMP00000035622 antibody, UNQ2429/PRO4989 antibody
UniProt
Q8TCA0
Recently viewed
(hide)
Chat with us , powered by LiveChat