Phone:
+1 877 302 8632
Fax:
+1 888 205 9894 (Toll-free)
E-Mail:
orders@antibodies-online.com

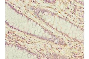
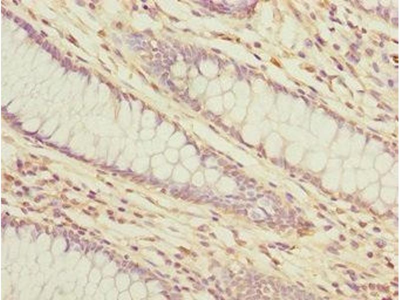
LMO4 antibody (AA 1-165)

The Rabbit Polyclonal anti-LMO4 antibody (ABIN7158367) specifically detects LMO4 in ELISA and IHC. The antibody is reactive with Human samples.
Catalog No. ABIN7158367
$394.68
Plus shipping costs $50.00
Shipping to: United States
Delivery in 13 to 17 Business Days

Quick Overview for LMO4 antibody (AA 1-165) (ABIN7158367)

Target

See all LMO4 Antibodies
LMO4 (LIM Domain Only 4 (LMO4))

Reactivity

  • 61
  • 34
  • 14
  • 1
  • 1
  • 1
  • 1
Human

Host

  • 54
  • 6
  • 1
Rabbit

Clonality

  • 44
  • 17
Polyclonal

Conjugate

  • 26
  • 4
  • 2
  • 2
  • 2
  • 2
  • 2
  • 2
  • 2
  • 2
  • 1
  • 1
  • 1
  • 1
  • 1
  • 1
  • 1
  • 1
  • 1
  • 1
  • 1
  • 1
  • 1
  • 1
  • 1
This LMO4 antibody is un-conjugated

Application

  • 50
  • 24
  • 13
  • 13
  • 10
  • 10
  • 9
  • 7
  • 7
  • 4
  • 1
  • 1
ELISA, Immunohistochemistry (IHC)
  • Binding Specificity

    • 15
    • 7
    • 5
    • 3
    • 2
    • 2
    • 1
    • 1
    • 1
    • 1
    • 1
    • 1
    • 1
    • 1
    AA 1-165

    Purpose

    LMO4 Antibody

    Purification

    Antigen Affinity Purified

    Immunogen

    Recombinant Human LIM domain transcription factor LMO4 protein (1-165AA)

    Isotype

    IgG
  • Application Notes

    Optimal working dilution should be determined by the investigator.

    Restrictions

    For Research Use only
  • Format

    Liquid

    Buffer

    PBS with 0.02 % sodium azide, 50 % glycerol, pH 7.3.

    Preservative

    Sodium azide

    Precaution of Use

    This product contains Sodium azide: a POISONOUS AND HAZARDOUS SUBSTANCE which should be handled by trained staff only.

    Storage

    -20 °C,-80 °C

    Storage Comment

    Upon receipt, store at -20°C or -80°C. Avoid repeated freeze.
  • Target

    LMO4 (LIM Domain Only 4 (LMO4))

    Alternative Name

    LMO4

    Background

    Background: Probable transcriptional factor.

    Aliases: Breast tumor autoantigen antibody, LIM domain only 4 antibody, LIM domain only protein 4 antibody, LIM domain transcription factor LMO 4 antibody, LIM domain transcription factor LMO4 antibody, LMO 4 antibody, LMO-4 antibody, LMO4 antibody, LMO4_HUMAN antibody, OTTHUMP00000011905 antibody, OTTHUMP00000011906 antibody

    UniProt

    P61968

    Pathways

    Tube Formation
You are here:
Chat with us!