Phone:
+1 877 302 8632
Fax:
+1 888 205 9894 (Toll-free)
E-Mail:
orders@antibodies-online.com

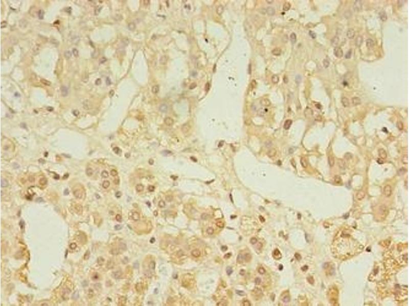
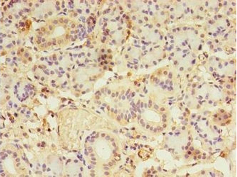
LDAH/C2orf43 antibody (AA 1-325)

The Rabbit Polyclonal anti-LDAH/C2orf43 antibody is suitable to detect LDAH/C2orf43 in samples from Human. It has been validated for WB, ELISA and IHC.
Catalog No. ABIN7158414
$394.68
Plus shipping costs $50.00
Shipping to: United States
Delivery in 13 to 17 Business Days

Quick Overview for LDAH/C2orf43 antibody (AA 1-325) (ABIN7158414)

Target

See all LDAH/C2orf43 (LDAH) Antibodies
LDAH/C2orf43 (LDAH) (Lipid Droplet-Associated Hydrolase (LDAH))

Reactivity

  • 32
  • 17
  • 17
  • 2
  • 2
  • 2
  • 2
  • 1
  • 1
  • 1
Human

Host

  • 29
  • 3
Rabbit

Clonality

  • 31
  • 1
Polyclonal

Conjugate

  • 8
  • 3
  • 2
  • 2
  • 1
  • 1
  • 1
  • 1
  • 1
  • 1
  • 1
  • 1
  • 1
  • 1
  • 1
  • 1
  • 1
  • 1
  • 1
  • 1
  • 1
This LDAH/C2orf43 antibody is un-conjugated

Application

  • 22
  • 13
  • 5
  • 3
  • 3
  • 2
Western Blotting (WB), ELISA, Immunohistochemistry (IHC)
  • Binding Specificity

    • 6
    • 1
    • 1
    • 1
    AA 1-325

    Purpose

    LDAH Antibody

    Purification

    Antigen Affinity Purified

    Immunogen

    Recombinant Human Lipid droplet-associated hydrolase protein (1-325AA)

    Isotype

    IgG
  • Application Notes

    Optimal working dilution should be determined by the investigator.

    Restrictions

    For Research Use only
  • Format

    Liquid

    Buffer

    Preservative: 0.03 % Proclin 300
    Constituents: 50 % Glycerol, 0.01M PBS, PH 7.4

    Preservative

    ProClin

    Precaution of Use

    This product contains ProClin: a POISONOUS AND HAZARDOUS SUBSTANCE which should be handled by trained staff only.

    Storage

    -20 °C,-80 °C

    Storage Comment

    Upon receipt, store at -20°C or -80°C. Avoid repeated freeze.
  • Target

    LDAH/C2orf43 (LDAH) (Lipid Droplet-Associated Hydrolase (LDAH))

    Alternative Name

    LDAH

    Background

    Background: Serine lipid hydrolase associated with lipid droplets. Highly expressed in macrophage-rich areas in atherosclerotic lesions, suggesting that it could promote cholesterol ester turnover in macrophages.

    Aliases: C2orf43 antibody, CB043_HUMAN antibody, Chromosome 2 open reading frame 43 antibody, FLJ21820 antibody, Hypothetical protein LOC60526 antibody, UPF0554 protein C2orf43 antibody

    UniProt

    Q9H6V9
You are here:
Chat with us!