Phone:
+1 877 302 8632
Fax:
+1 888 205 9894 (Toll-free)
E-Mail:
orders@antibodies-online.com

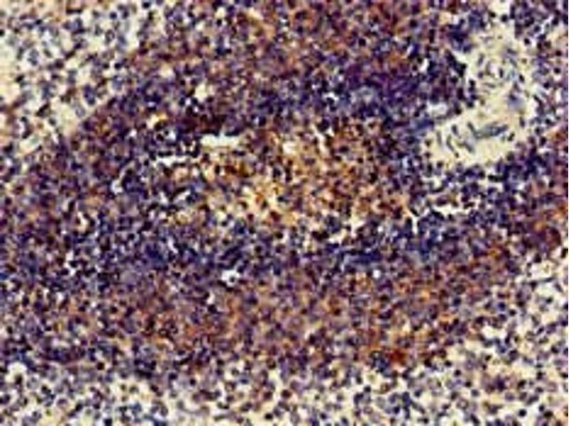
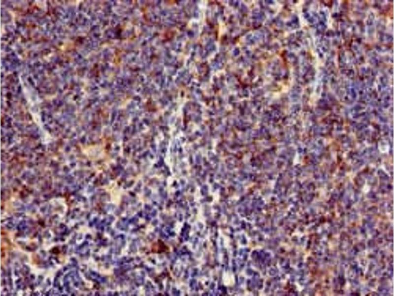
BC055111 antibody (AA 1-418)

The Rabbit Polyclonal anti-BC055111 antibody (ABIN7158646) specifically detects BC055111 in ELISA, IHC and WB. The antibody is reactive with Human samples.
Catalog No. ABIN7158646
$394.68
Plus shipping costs $50.00
Shipping to: United States
Delivery in 13 to 17 Business Days

Quick Overview for BC055111 antibody (AA 1-418) (ABIN7158646)

Target

BC055111 (cDNA Sequence BC055111 (BC055111))

Reactivity

  • 5
  • 1
Human

Host

  • 5
Rabbit

Clonality

  • 5
Polyclonal

Conjugate

  • 2
  • 1
  • 1
  • 1
This BC055111 antibody is un-conjugated

Application

ELISA, Immunohistochemistry (IHC), Western Blotting (WB)
  • Binding Specificity

    AA 1-418

    Purpose

    LEXM Antibody

    Cross-Reactivity

    Rat

    Purification

    Protein G purified

    Purity

    >95 %

    Immunogen

    Recombinant Human Lymphocyte expansion molecule protein (1-418AA)

    Isotype

    IgG
  • Application Notes

    Optimal working dilution should be determined by the investigator.

    Restrictions

    For Research Use only
  • Format

    Liquid

    Buffer

    Preservative: 0.03 % Proclin 300
    Constituents: 50 % Glycerol, 0.01M PBS, pH 7.4

    Preservative

    ProClin

    Precaution of Use

    This product contains ProClin: a POISONOUS AND HAZARDOUS SUBSTANCE which should be handled by trained staff only.

    Storage

    -20 °C,-80 °C

    Storage Comment

    Upon receipt, store at -20°C or -80°C. Avoid repeated freeze.
  • Target

    BC055111 (cDNA Sequence BC055111 (BC055111))

    Alternative Name

    LEXM

    Background

    Background: May have on role on T-cell metabolism however these data are controversial.

    Aliases: LEXM antibody, LEM antibody, C1orf177Lymphocyte expansion molecule antibody

    UniProt

    Q3ZCV2
You are here:
Chat with us!