Phone:
+1 877 302 8632
Fax:
+1 888 205 9894 (Toll-free)
E-Mail:
orders@antibodies-online.com

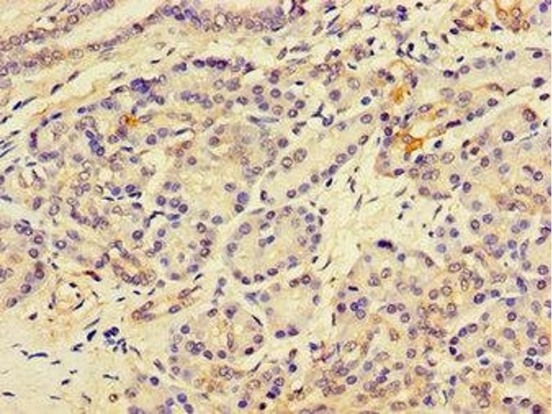
LPCAT3 antibody (AA 306-363)

The Rabbit Polyclonal anti-LPCAT3 antibody (ABIN7158760) specifically detects LPCAT3 in IHC and ELISA. The antibody is reactive with Human samples.
Catalog No. ABIN7158760
$394.68
Plus shipping costs $50.00
Shipping to: United States
Delivery in 13 to 17 Business Days

Quick Overview for LPCAT3 antibody (AA 306-363) (ABIN7158760)

Target

See all LPCAT3 Antibodies
LPCAT3 (Lysophosphatidylcholine Acyltransferase 3 (LPCAT3))

Reactivity

  • 16
  • 4
  • 2
Human

Host

  • 14
  • 4
Rabbit

Clonality

  • 14
  • 4
Polyclonal

Conjugate

  • 7
  • 4
  • 4
  • 2
  • 1
This LPCAT3 antibody is un-conjugated

Application

  • 14
  • 9
  • 4
  • 4
  • 3
  • 3
  • 1
Immunohistochemistry (IHC), ELISA
  • Binding Specificity

    • 5
    • 4
    • 1
    AA 306-363

    Purpose

    LPCAT3 Antibody

    Purification

    Protein G purified

    Purity

    >95 %

    Immunogen

    Recombinant Human Lysophospholipid acyltransferase 5 protein (306-363AA)

    Isotype

    IgG
  • Application Notes

    Optimal working dilution should be determined by the investigator.

    Restrictions

    For Research Use only
  • Format

    Liquid

    Buffer

    Preservative: 0.03 % Proclin 300
    Constituents: 50 % Glycerol, 0.01M PBS, PH 7.4

    Preservative

    ProClin

    Precaution of Use

    This product contains ProClin: a POISONOUS AND HAZARDOUS SUBSTANCE which should be handled by trained staff only.

    Storage

    -20 °C,-80 °C

    Storage Comment

    Upon receipt, store at -20°C or -80°C. Avoid repeated freeze.
  • Target

    LPCAT3 (Lysophosphatidylcholine Acyltransferase 3 (LPCAT3))

    Alternative Name

    LPCAT3

    Background

    Background: Acyltransferase which mediates the conversion of lysophosphatidylcholine (1-acyl-sn-glycero-3-phosphocholine or LPC) into phosphatidylcholine (1,2-diacyl-sn-glycero-3-phosphocholine or PC) (LPCAT activity). Catalyzes also the conversion of lysophosphatidylserine (1-acyl-2-hydroxy-sn-glycero-3-phospho-L-serine or LPS) into phosphatidylserine (1,2-diacyl-sn-glycero-3-phospho-L-serine or PS) (LPSAT activity). Has also weak lysophosphatidylethanolamine acyltransferase activity (LPEAT activity). Favors polyunsaturated fatty acyl-CoAs as acyl donors compared to saturated fatty acyl-CoAs. Seems to be the major enzyme contributing to LPCAT activity in the liver. Lysophospholipid acyltransferases (LPLATs) catalyze the reacylation step of the phospholipid remodeling pathway also known as the Lands cycle.

    Aliases: 1-acylglycerophosphocholine O-acyltransferase antibody, 1-acylglycerophosphoserine O-acyltransferase antibody, LPCAT antibody, Lpcat3 antibody, LPLAT 5 antibody, LPSAT antibody, Lyso-PC acyltransferase 3 antibody, Lyso-PC acyltransferase antibody, Lyso-PS acyltransferase antibody, Lysophosphatidylcholine acyltransferase 3 antibody, Lysophosphatidylcholine acyltransferase antibody, Lysophosphatidylserine acyltransferase antibody, Lysophospholipid acyltransferase 5 antibody, MBOA5 antibody, MBOA5_HUMAN antibody, Membrane-bound O-acyltransferase domain-containing protein 5 antibody, O-acyltransferase domain-containing protein 5 antibody

    UniProt

    Q6P1A2
You are here:
Chat with us!