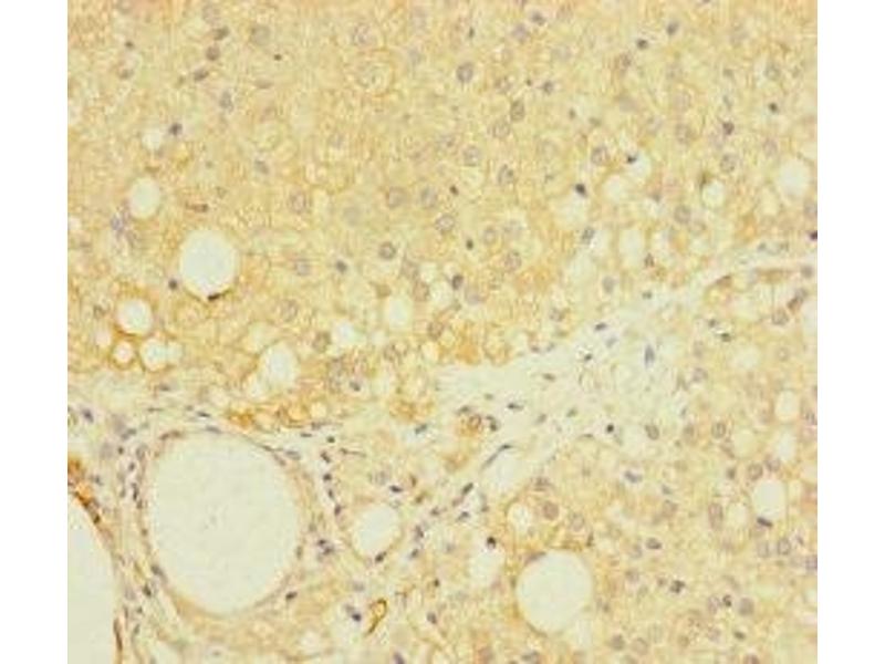
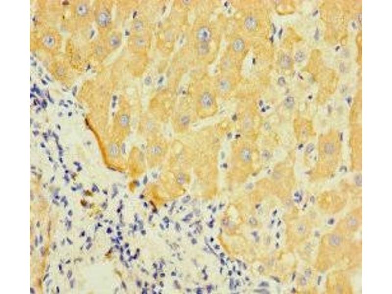
LAPTM5 antibody (AA 205-262)
Quick Overview for LAPTM5 antibody (AA 205-262) (ABIN7158796)
Target
See all LAPTM5 AntibodiesReactivity
Host
Clonality
Conjugate
Application
-
-
Binding Specificity
- AA 205-262
-
Purpose
- LAPTM5 Antibody
-
Purification
- Protein G purified
-
Purity
- >95 %
-
Immunogen
- Recombinant Human Lysosomal-associated transmembrane protein 5 protein (205-262AA)
-
Isotype
- IgG
-
-
-
-
Application Notes
- Optimal working dilution should be determined by the investigator.
-
Restrictions
- For Research Use only
-
-
-
Format
- Liquid
-
Buffer
-
Preservative: 0.03 % Proclin 300
Constituents: 50 % Glycerol, 0.01M PBS, PH 7.4 -
Preservative
- ProClin
-
Precaution of Use
- This product contains ProClin: a POISONOUS AND HAZARDOUS SUBSTANCE which should be handled by trained staff only.
-
Storage
- -20 °C,-80 °C
-
Storage Comment
- Upon receipt, store at -20°C or -80°C. Avoid repeated freeze.
-
-
- LAPTM5 (Lysosomal Protein Transmembrane 5 (LAPTM5))
-
Alternative Name
- LAPTM5
-
Background
-
Background: May have a special functional role during embryogenesis and in adult hematopoietic cells.
Aliases: LAPTM5 antibody, KIAA0085 antibody, Lysosomal-associated transmembrane protein 5 antibody, Lysosomal-associated multitransmembrane protein 5 antibody, Retinoic acid-inducible E3 protein antibody
-
UniProt
- Q13571
Target
-