Phone:
+1 877 302 8632
Fax:
+1 888 205 9894 (Toll-free)
E-Mail:
orders@antibodies-online.com

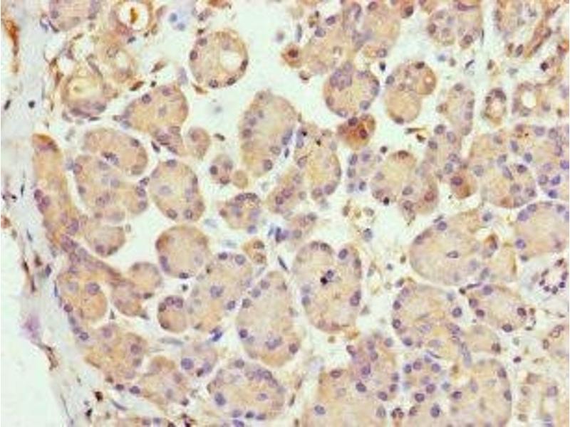
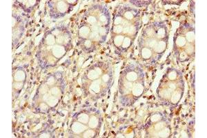
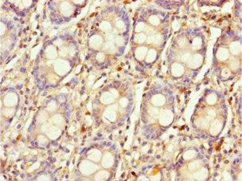
LYG1 antibody (AA 20-194)

The Rabbit Polyclonal anti-LYG1 antibody (ABIN7158817) specifically detects LYG1 in ELISA and IHC. The antibody is reactive with Human samples.
Catalog No. ABIN7158817
$394.68
Plus shipping costs $50.00
Shipping to: United States
Delivery in 13 to 17 Business Days

Quick Overview for LYG1 antibody (AA 20-194) (ABIN7158817)

Target

LYG1 (Lysozyme G-Like 1 (LYG1))

Reactivity

Human

Host

  • 5
  • 2
Rabbit

Clonality

  • 7
Polyclonal

Conjugate

  • 3
  • 2
  • 1
  • 1
This LYG1 antibody is un-conjugated

Application

  • 4
  • 3
  • 1
ELISA, Immunohistochemistry (IHC)
  • Binding Specificity

    • 4
    • 2
    AA 20-194

    Purpose

    LYG1 Antibody

    Purification

    Protein G purified

    Purity

    >95 %

    Immunogen

    Recombinant Human Lysozyme g-like protein 1 protein (20-194AA)

    Isotype

    IgG
  • Application Notes

    Optimal working dilution should be determined by the investigator.

    Restrictions

    For Research Use only
  • Format

    Liquid

    Buffer

    Preservative: 0.03 % Proclin 300
    Constituents: 50 % Glycerol, 0.01M PBS, PH 7.4

    Preservative

    ProClin

    Precaution of Use

    This product contains ProClin: a POISONOUS AND HAZARDOUS SUBSTANCE which should be handled by trained staff only.

    Storage

    -20 °C,-80 °C

    Storage Comment

    Upon receipt, store at -20°C or -80°C. Avoid repeated freeze.
  • Target

    LYG1 (Lysozyme G-Like 1 (LYG1))

    Alternative Name

    LYG1

    Background

    LYG1 antibody, UNQ1939/PRO4422 antibody, Lysozyme g-like protein 1 antibody, EC 3.2.1.- antibody

    UniProt

    Q8N1E2
You are here:
Chat with us!