Phone:
+1 877 302 8632
Fax:
+1 888 205 9894 (Toll-free)
E-Mail:
orders@antibodies-online.com

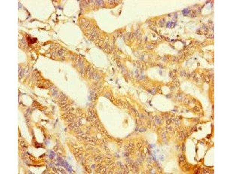
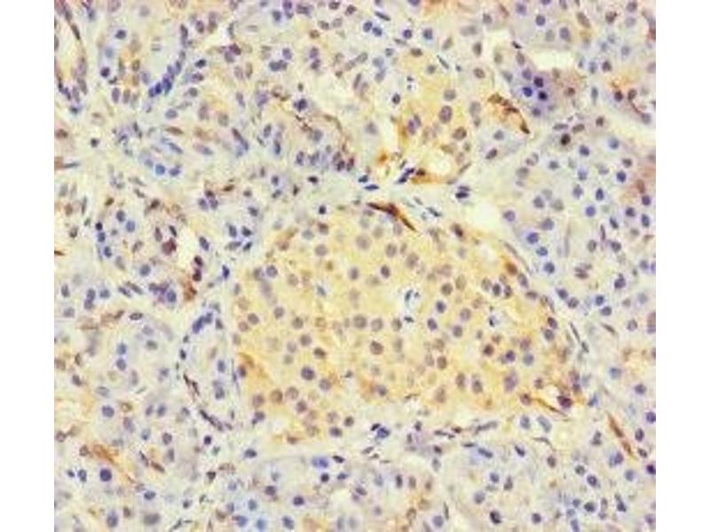
LYG2 antibody (AA 20-212)

This Rabbit Polyclonal antibody specifically detects LYG2 in ELISA and IHC. It exhibits reactivity toward Human.
Catalog No. ABIN7158821
$394.68
Plus shipping costs $50.00
Shipping to: United States
Delivery in 13 to 17 Business Days

Quick Overview for LYG2 antibody (AA 20-212) (ABIN7158821)

Target

LYG2 (Lysozyme G-Like 2 (LYG2))

Reactivity

  • 10
  • 2
  • 2
  • 2
  • 2
  • 2
  • 2
  • 1
  • 1
Human

Host

  • 8
  • 2
Rabbit

Clonality

  • 10
Polyclonal

Conjugate

  • 6
  • 2
  • 1
  • 1
This LYG2 antibody is un-conjugated

Application

ELISA, Immunohistochemistry (IHC)
  • Binding Specificity

    • 4
    • 2
    • 1
    • 1
    • 1
    • 1
    AA 20-212

    Purpose

    LYG2 Antibody

    Purification

    Protein G purified

    Purity

    >95 %

    Immunogen

    Recombinant Human Lysozyme g-like protein 2 protein (20-212AA)

    Isotype

    IgG
  • Application Notes

    Optimal working dilution should be determined by the investigator.

    Restrictions

    For Research Use only
  • Format

    Liquid

    Buffer

    Preservative: 0.03 % Proclin 300
    Constituents: 50 % Glycerol, 0.01M PBS, PH 7.4

    Preservative

    ProClin

    Precaution of Use

    This product contains ProClin: a POISONOUS AND HAZARDOUS SUBSTANCE which should be handled by trained staff only.

    Storage

    -20 °C,-80 °C

    Storage Comment

    Upon receipt, store at -20°C or -80°C. Avoid repeated freeze.
  • Target

    LYG2 (Lysozyme G-Like 2 (LYG2))

    Alternative Name

    LYG2

    Background

    Background: May act as a potent antibacterial protein that may play a role in the innate immunity.

    Aliases: LYG 2 antibody, Lyg2 antibody, LYG2_HUMAN antibody, LYGH antibody, Lysozyme G like 2 antibody, Lysozyme g like protein 2 antibody, Lysozyme g-like protein 2 antibody, Lysozyme like antibody, MGC119046 antibody, MGC119047 antibody, MGC119049 antibody

    UniProt

    Q86SG7
You are here:
Chat with us!