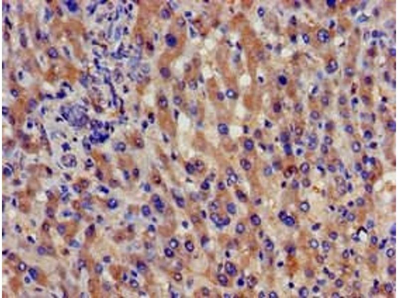
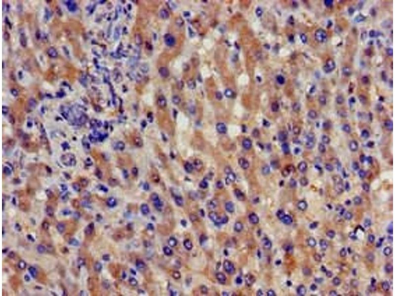
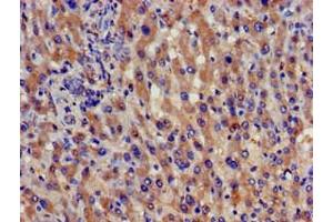
SPG21 antibody (AA 1-308)
Quick Overview for SPG21 antibody (AA 1-308) (ABIN7159025)
Target
See all SPG21 AntibodiesReactivity
Host
Clonality
Conjugate
Application
-
-
Binding Specificity
- AA 1-308
-
Purpose
- SPG21 Antibody
-
Purification
- Protein G purified
-
Purity
- >95 %
-
Immunogen
- Recombinant Human Maspardin protein (1-308AA)
-
Isotype
- IgG
-
-
-
-
Application Notes
- Optimal working dilution should be determined by the investigator.
-
Restrictions
- For Research Use only
-
-
-
Format
- Liquid
-
Buffer
-
Preservative: 0.03 % Proclin 300
Constituents: 50 % Glycerol, 0.01M PBS, PH 7.4 -
Preservative
- ProClin
-
Precaution of Use
- This product contains ProClin: a POISONOUS AND HAZARDOUS SUBSTANCE which should be handled by trained staff only.
-
Storage
- -20 °C,-80 °C
-
Storage Comment
- Upon receipt, store at -20°C or -80°C. Avoid repeated freeze.
-
-
- SPG21 (Spastic Paraplegia 21 (SPG21))
-
Alternative Name
- SPG21
-
Background
-
Background: May play a role as a negative regulatory factor in CD4-dependent T-cell activation.
Aliases: SPG21 antibody, ACP33 antibody, BM-019 antibody, GL010 antibody, Maspardin antibody, Acid cluster protein 33 antibody, Spastic paraplegia 21 autosomal recessive Mast syndrome protein antibody, Spastic paraplegia 21 protein antibody
-
UniProt
- Q9NZD8
Target
-