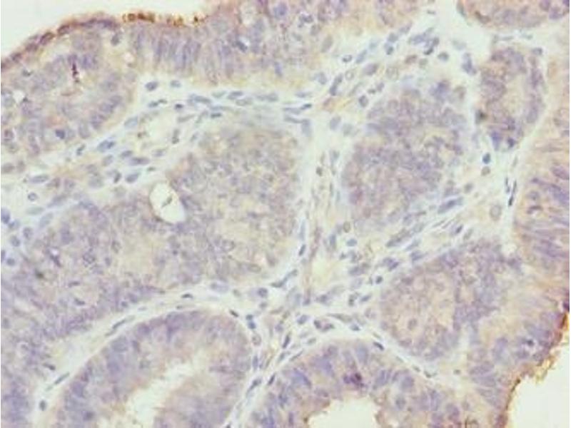
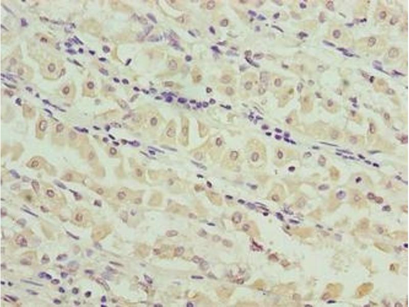
MND1 antibody (AA 2-205)
Quick Overview for MND1 antibody (AA 2-205) (ABIN7159191)
Target
See all MND1 AntibodiesReactivity
Host
Clonality
Conjugate
Application
-
-
Binding Specificity
- AA 2-205
-
Purpose
- MND1 Antibody
-
Purification
- Protein G purified
-
Purity
- >95 %
-
Immunogen
- Recombinant Human Meiotic nuclear division protein 1 homolog protein (2-205AA)
-
Isotype
- IgG
-
-
-
-
Application Notes
- Optimal working dilution should be determined by the investigator.
-
Restrictions
- For Research Use only
-
-
-
Format
- Liquid
-
Buffer
-
Preservative: 0.03 % Proclin 300
Constituents: 50 % Glycerol, 0.01M PBS, PH 7.4 -
Preservative
- ProClin
-
Precaution of Use
- This product contains ProClin: a POISONOUS AND HAZARDOUS SUBSTANCE which should be handled by trained staff only.
-
Storage
- -20 °C,-80 °C
-
Storage Comment
- Upon receipt, store at -20°C or -80°C. Avoid repeated freeze.
-
-
- MND1 (Meiotic Nuclear Divisions 1 Homolog (MND1))
-
Alternative Name
- MND1
-
Background
-
Background: Required for proper homologous chromosome pairing and efficient cross-over and intragenic recombination during meiosis. Stimulates both DMC1- and RAD51-mediated homologous strand assimilation, which is required for the resolution of meiotic double-strand breaks.
Aliases: MND1 antibody, GAJ antibody, Meiotic nuclear division protein 1 homolog antibody
-
UniProt
- Q9BWT6
Target
-