Phone:
+1 877 302 8632
Fax:
+1 888 205 9894 (Toll-free)
E-Mail:
orders@antibodies-online.com

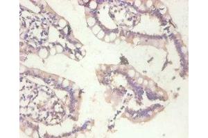
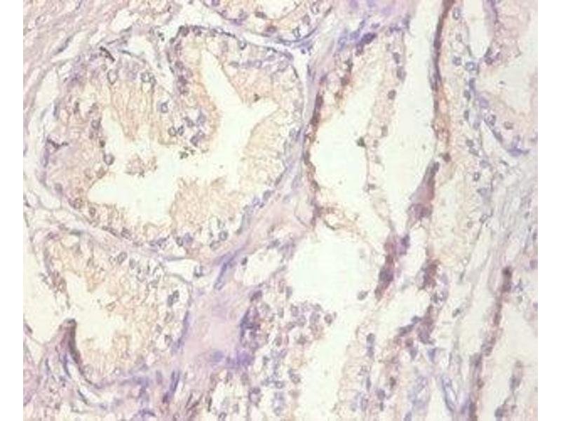
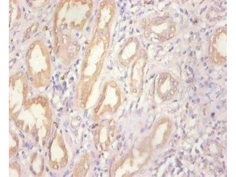
MT1A antibody (AA 1-59)

The Rabbit Polyclonal anti-MT1A antibody is suitable to detect MT1A in samples from Human. It has been validated for ELISA and IHC.
Catalog No. ABIN7159509
$394.68
Plus shipping costs $50.00
Shipping to: United States
Delivery in 13 to 17 Business Days

Quick Overview for MT1A antibody (AA 1-59) (ABIN7159509)

Target

See all MT1A Antibodies
MT1A (Metallothionein 1A (MT1A))

Reactivity

  • 7
  • 1
  • 1
Human

Host

  • 8
  • 1
Rabbit

Clonality

  • 9
Polyclonal

Conjugate

  • 3
  • 2
  • 2
  • 2
This MT1A antibody is un-conjugated

Application

  • 6
  • 5
  • 1
ELISA, Immunohistochemistry (IHC)
  • Binding Specificity

    • 4
    • 1
    AA 1-59

    Purpose

    MT1A Antibody

    Purification

    Protein G purified

    Purity

    >95 %

    Immunogen

    Recombinant Human Metallothionein-1A protein (1-59AA)

    Isotype

    IgG
  • Application Notes

    Optimal working dilution should be determined by the investigator.

    Restrictions

    For Research Use only
  • Format

    Liquid

    Buffer

    Preservative: 0.03 % Proclin 300
    Constituents: 50 % Glycerol, 0.01M PBS, PH 7.4

    Preservative

    ProClin

    Precaution of Use

    This product contains ProClin: a POISONOUS AND HAZARDOUS SUBSTANCE which should be handled by trained staff only.

    Storage

    -20 °C,-80 °C

    Storage Comment

    Upon receipt, store at -20°C or -80°C. Avoid repeated freeze.
  • Target

    MT1A (Metallothionein 1A (MT1A))

    Alternative Name

    MT1A

    Background

    Background: Metallothioneins have a high content of cysteine residues that bind various heavy metals, these proteins are transcriptionally regulated by both heavy metals and glucocorticoids.

    Aliases: CES 1 antibody, CES1 antibody, Metallothionein 1A antibody, Metallothionein 1S antibody, Metallothionein 2 antibody, Metallothionein 2A antibody, Metallothionein IA antibody, Metallothionein II antibody, Metallothionein-1A antibody, Metallothionein-IA antibody, Metallothionein2 antibody, MGC32848 antibody, MT 1A antibody, MT 2 antibody, MT 2A antibody, MT IA antibody, MT II antibody, MT-1A antibody, MT-IA antibody, MT1 antibody, MT1A antibody, MT1A_HUMAN antibody, MT1S antibody, MT2 antibody, MT2A antibody, MTC antibody

    UniProt

    P04731
You are here:
Chat with us!