Phone:
+1 877 302 8632
Fax:
+1 888 205 9894 (Toll-free)
E-Mail:
orders@antibodies-online.com

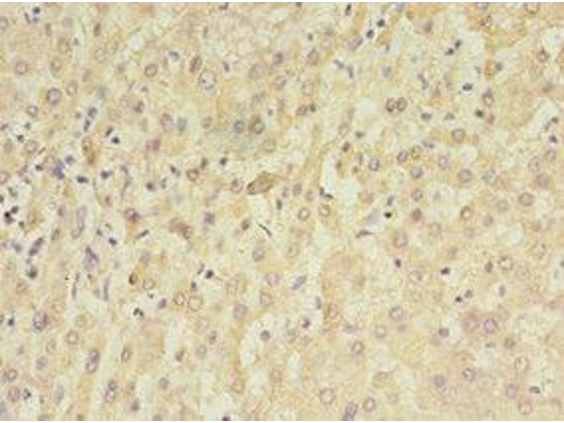
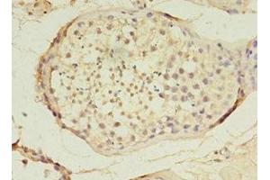
TET3 antibody (AA 72-335)

The Rabbit Polyclonal anti-TET3 antibody is suitable to detect TET3 in samples from Human. It has been validated for ELISA and IHC.
Catalog No. ABIN7159638
$394.68
Plus shipping costs $50.00
Shipping to: United States
Delivery in 13 to 17 Business Days

Quick Overview for TET3 antibody (AA 72-335) (ABIN7159638)

Target

See all TET3 Antibodies
TET3 (Tet Methylcytosine Dioxygenase 3 (TET3))

Reactivity

  • 23
  • 8
  • 3
Human

Host

  • 14
  • 10
  • 1
Rabbit

Clonality

  • 16
  • 9
Polyclonal

Conjugate

  • 21
  • 2
  • 1
  • 1
This TET3 antibody is un-conjugated

Application

  • 21
  • 6
  • 6
  • 4
  • 3
  • 3
  • 2
  • 1
  • 1
  • 1
  • 1
ELISA, Immunohistochemistry (IHC)
  • Binding Specificity

    • 6
    • 4
    • 4
    • 4
    • 2
    • 1
    • 1
    • 1
    AA 72-335

    Purpose

    TET3 Antibody

    Purification

    Protein G purified

    Purity

    >95 %

    Immunogen

    Recombinant Human Methylcytosine dioxygenase TET3 protein (72-335AA)

    Isotype

    IgG
  • Application Notes

    Optimal working dilution should be determined by the investigator.

    Restrictions

    For Research Use only
  • Format

    Liquid

    Buffer

    Preservative: 0.03 % Proclin 300
    Constituents: 50 % Glycerol, 0.01M PBS, PH 7.4

    Preservative

    ProClin

    Precaution of Use

    This product contains ProClin: a POISONOUS AND HAZARDOUS SUBSTANCE which should be handled by trained staff only.

    Storage

    -20 °C,-80 °C

    Storage Comment

    Upon receipt, store at -20°C or -80°C. Avoid repeated freeze.
  • Target

    TET3 (Tet Methylcytosine Dioxygenase 3 (TET3))

    Alternative Name

    TET3

    Background

    Background: Dioxygenase that catalyzes the conversion of the modified genomic base 5-methylcytosine (5mC) into 5-hydroxymethylcytosine (5hmC) and plays a key role in epigenetic chromatin reprogramming in the zygote following fertilization. Also mediates subsequent conversion of 5hmC into 5-formylcytosine (5fC), and conversion of 5fC to 5-carboxylcytosine (5caC). Conversion of 5mC into 5hmC, 5fC and 5caC probably constitutes the first step in cytosine demethylation. In zygotes, DNA demethylation occurs selectively in the paternal pronucleus before the first cell division, while the adjacent maternal pronucleus and certain paternally-imprinted loci are protected from this process. Participates in DNA demethylation in the paternal pronucleus by mediating conversion of 5mC into 5hmC, 5fC and 5caC. Does not mediate DNA demethylation of maternal pronucleus because of the presence of DPPA3/PGC7 on maternal chromatin that prevents TET3-binding to chromatin (By similarity). In addition to its role in DNA demethylation, also involved in the recruitment of the O-GlcNAc transferase OGT to CpG-rich transcription start sites of active genes, thereby promoting histone H2B GlcNAcylation by OGT.

    Aliases: hCG_40738 antibody, KIAA0401 antibody, Methylcytosine dioxygenase TET3 antibody, Probable methylcytosine dioxygenase TET3 antibody, Tet methylcytosine dioxygenase 3 antibody, Tet oncogene family member 3 antibody, Tet3 antibody, TET3_HUMAN antibody

    UniProt

    O43151

    Pathways

    Warburg Effect
You are here:
Chat with us!