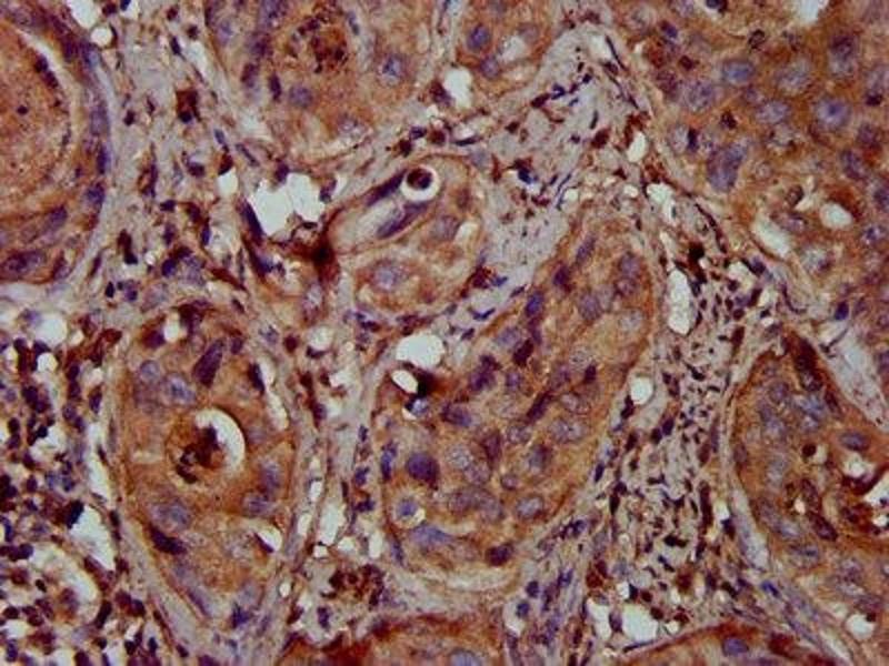
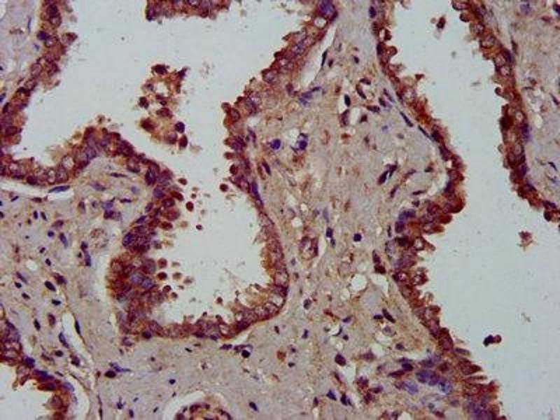
MFAP4 antibody (AA 100-191)
Quick Overview for MFAP4 antibody (AA 100-191) (ABIN7159706)
Target
See all MFAP4 AntibodiesReactivity
Host
Clonality
Conjugate
Application
-
-
Binding Specificity
- AA 100-191
-
Purpose
- MFAP4 Antibody
-
Purification
- Protein G purified
-
Purity
- >95 %
-
Immunogen
- Recombinant Human Microfibril-associated glycoprotein 4 protein (100-191AA)
-
Isotype
- IgG
-
-
-
-
Application Notes
- Optimal working dilution should be determined by the investigator.
-
Restrictions
- For Research Use only
-
-
-
Format
- Liquid
-
Buffer
-
Preservative: 0.03 % Proclin 300
Constituents: 50 % Glycerol, 0.01M PBS, pH 7.4 -
Preservative
- ProClin
-
Precaution of Use
- This product contains ProClin: a POISONOUS AND HAZARDOUS SUBSTANCE which should be handled by trained staff only.
-
Storage
- -20 °C,-80 °C
-
Storage Comment
- Upon receipt, store at -20°C or -80°C. Avoid repeated freeze.
-
-
- MFAP4 (Microfibrillar-Associated Protein 4 (MFAP4))
-
Alternative Name
- MFAP4
-
Background
-
Background: Could be involved in calcium-dependent cell adhesion or intercellular interactions. May contribute to the elastic fiber assembly and/or maintenance (PubMed:26601954).
Aliases: MFAP4 antibody, MFAP4_HUMAN antibody, Microfibril-associated glycoprotein 4 antibody, Microfibrillar associated protein 4 antibody
-
UniProt
- P55083
Target
-