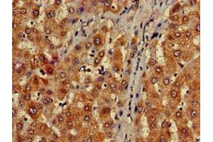
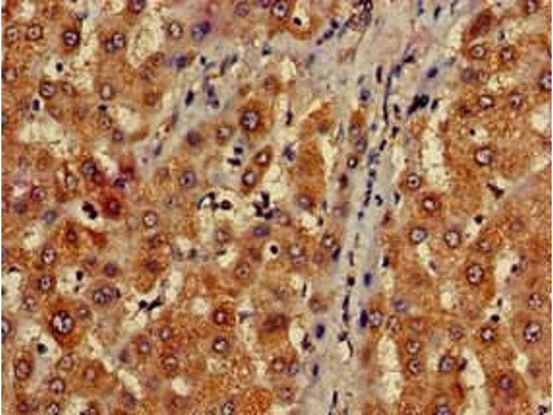
LC3C antibody (AA 1-30)
Quick Overview for LC3C antibody (AA 1-30) (ABIN7159786)
Target
See all LC3C (MAP1LC3C) AntibodiesReactivity
Host
Clonality
Conjugate
Application
-
-
Binding Specificity
- AA 1-30
-
Purpose
- MAP1LC3C Antibody
-
Purification
- Protein G purified
-
Purity
- >95 %
-
Immunogen
- Recombinant Human Microtubule-associated proteins 1A/1B light chain 3C protein (1-30AA)
-
Isotype
- IgG
-
-
-
-
Application Notes
- Optimal working dilution should be determined by the investigator.
-
Restrictions
- For Research Use only
-
-
-
Format
- Liquid
-
Buffer
-
Preservative: 0.03 % Proclin 300
Constituents: 50 % Glycerol, 0.01M PBS, pH 7.4 -
Preservative
- ProClin
-
Precaution of Use
- This product contains ProClin: a POISONOUS AND HAZARDOUS SUBSTANCE which should be handled by trained staff only.
-
Storage
- -20 °C,-80 °C
-
Storage Comment
- Upon receipt, store at -20°C or -80°C. Avoid repeated freeze.
-
-
- LC3C (MAP1LC3C) (Microtubule-Associated Protein 1 Light Chain 3 gamma (MAP1LC3C))
-
Alternative Name
- MAP1LC3C
-
Background
-
Background: Ubiquitin-like modifier that plays a crucial role in antibacterial autophagy (xenophagy) through the selective binding of CALCOCO2. Recruites all ATG8 family members to infecting bacteria such as S.Typhimurium.
Aliases: ATG8J antibody, Autophagy-related protein LC3 C antibody, Autophagy-related ubiquitin-like modifier LC3 C antibody, LC3 like protein 2 antibody, MAP1 light chain 3 like protein 2 antibody, MAP1 light chain 3 like protein 3 antibody, MAP1 light chain 3-like protein 3 antibody, MAP1A/MAP1B LC3 C antibody, MAP1A/MAP1B light chain 3 C antibody, MAP1LC3C antibody, Microtubule-associated protein 1 light chain 3 gamma antibody, Microtubule-associated proteins 1A/1B light chain 3C antibody, MLP3C_HUMAN antibody
-
UniProt
- Q9BXW4
-
Pathways
- Autophagy
Target
-