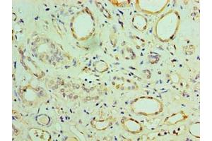
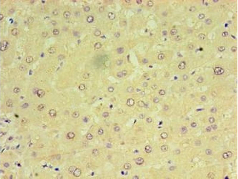
CHCHD4 antibody (AA 1-142)
Quick Overview for CHCHD4 antibody (AA 1-142) (ABIN7159923)
Target
See all CHCHD4 AntibodiesReactivity
Host
Clonality
Conjugate
Application
-
-
Binding Specificity
- AA 1-142
-
Purpose
- CHCHD4 Antibody
-
Purification
- Protein G purified
-
Purity
- >95 %
-
Immunogen
- Recombinant Human Mitochondrial intermembrane space import and assembly protein 40 protein (1-142AA)
-
Isotype
- IgG
-
-
-
-
Application Notes
- Optimal working dilution should be determined by the investigator.
-
Restrictions
- For Research Use only
-
-
-
Format
- Liquid
-
Buffer
-
Preservative: 0.03 % Proclin 300
Constituents: 50 % Glycerol, 0.01M PBS, PH 7.4 -
Preservative
- ProClin
-
Precaution of Use
- This product contains ProClin: a POISONOUS AND HAZARDOUS SUBSTANCE which should be handled by trained staff only.
-
Storage
- -20 °C,-80 °C
-
Storage Comment
- Upon receipt, store at -20°C or -80°C. Avoid repeated freeze.
-
-
- CHCHD4 (Coiled-Coil-Helix-Coiled-Coil-Helix Domain Containing 4 (CHCHD4))
-
Alternative Name
- CHCHD4
-
Background
-
Background: Functions as chaperone and catalyzes the formation of disulfide bonds in substrate proteins, such as COX17. Required for the import and folding of small cysteine-containing proteins (small Tim) in the mitochondrial intermembrane space (IMS). Precursor proteins to be imported into the IMS are translocated in their reduced form into the mitochondria. The oxidized form of CHCHD4/MIA40 forms a transient intermolecular disulfide bridge with the reduced precursor protein, resulting in oxidation of the precursor protein that now contains an intramolecular disulfide bond and is able to undergo folding in the IMS. Reduced CHCHD4/MIA40 is then reoxidized by GFER/ERV1 via a disulfide relay system.
Aliases: CHCHD4 antibody, MIA40Mitochondrial intermembrane space import and assembly protein 40 antibody, Coiled-coil-helix-coiled-coil-helix domain-containing protein 4 antibody
-
UniProt
- Q8N4Q1
Target
-