Phone:
+1 877 302 8632
Fax:
+1 888 205 9894 (Toll-free)
E-Mail:
orders@antibodies-online.com

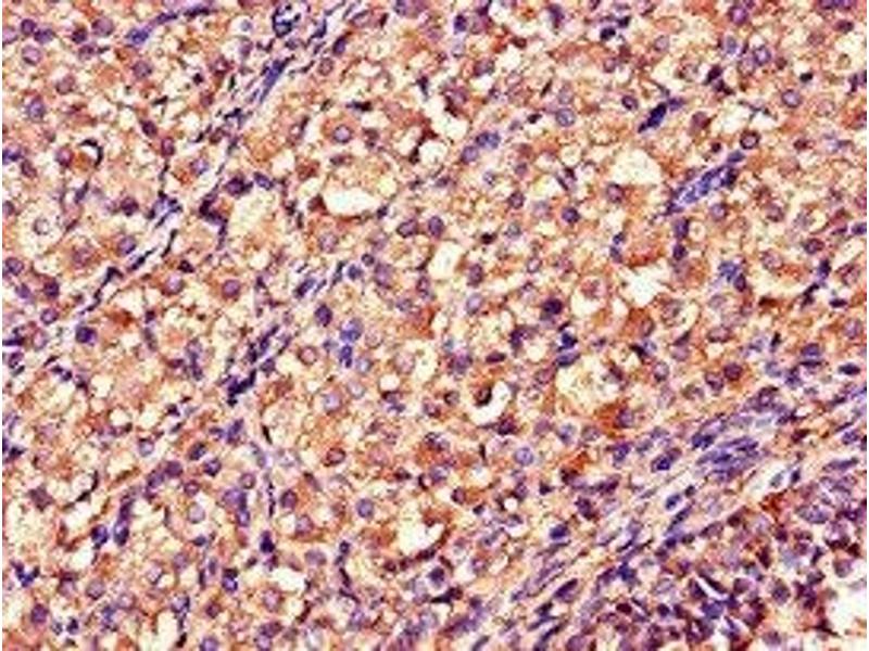
DDAH2 antibody (AA 1-285)

The Rabbit Polyclonal anti-DDAH2 antibody (ABIN7160797) specifically detects DDAH2 in WB, IHC and ELISA. The antibody is reactive with Human samples.
Catalog No. ABIN7160797
$394.68
Plus shipping costs $50.00
Shipping to: United States
Delivery in 13 to 17 Business Days

Quick Overview for DDAH2 antibody (AA 1-285) (ABIN7160797)

Target

See all DDAH2 Antibodies
DDAH2 (Dimethylarginine Dimethylaminohydrolase 2 (DDAH2))

Reactivity

  • 51
  • 35
  • 34
  • 2
  • 2
  • 2
  • 1
  • 1
Human

Host

  • 46
  • 4
  • 1
Rabbit

Clonality

  • 29
  • 22
Polyclonal

Conjugate

  • 24
  • 4
  • 3
  • 3
  • 3
  • 3
  • 3
  • 3
  • 2
  • 1
  • 1
  • 1
This DDAH2 antibody is un-conjugated

Application

  • 31
  • 13
  • 12
  • 11
  • 7
  • 3
  • 3
  • 3
  • 2
  • 1
  • 1
  • 1
  • 1
Western Blotting (WB), Immunohistochemistry (IHC), ELISA
  • Binding Specificity

    • 8
    • 3
    • 3
    • 2
    • 1
    • 1
    • 1
    AA 1-285

    Purpose

    DDAH2 Antibody

    Cross-Reactivity

    Mouse

    Purification

    Protein G purified

    Purity

    >95 %

    Immunogen

    Recombinant Human N(G),N(G)-dimethylarginine dimethylaminohydrolase 2 protein (1-285AA)

    Isotype

    IgG
  • Application Notes

    Optimal working dilution should be determined by the investigator.

    Restrictions

    For Research Use only
  • Format

    Liquid

    Buffer

    Preservative: 0.03 % Proclin 300
    Constituents: 50 % Glycerol, 0.01M PBS, PH 7.4

    Preservative

    ProClin

    Precaution of Use

    This product contains ProClin: a POISONOUS AND HAZARDOUS SUBSTANCE which should be handled by trained staff only.

    Storage

    -20 °C,-80 °C

    Storage Comment

    Upon receipt, store at -20°C or -80°C. Avoid repeated freeze.
  • Target

    DDAH2 (Dimethylarginine Dimethylaminohydrolase 2 (DDAH2))

    Alternative Name

    DDAH2

    Background

    Background: Hydrolyzes N(G),N(G)-dimethyl-L-arginine (ADMA) and N(G)-monomethyl-L-arginine (MMA) which act as inhibitors of NOS. Has therefore a role in the regulation of nitric oxide generation.

    Aliases: DDAH antibody, DDAH II antibody, DDAH-2 antibody, DDAH2 antibody, DDAH2_HUMAN antibody, DDAHII antibody, Dimethylargininase 2 antibody, Dimethylargininase-2 antibody, Dimethylarginine dimethylaminohydrolase 2 antibody, Dimethylarginine dimethylaminohydrolase II antibody, G6a antibody, N(G),N(G)-dimethylarginine dimethylaminohydrolase 2 antibody, NG dimethylarginine dimethylamino hydrolase homolog antibody, NG30 antibody, OTTHUMP00000029307 antibody, OTTHUMP00000029310 antibody, OTTHUMP00000174488 antibody, OTTHUMP00000174489 antibody, Protein G6a antibody, S phase protein antibody, S-phase protein antibody

    UniProt

    O95865
You are here:
Chat with us!