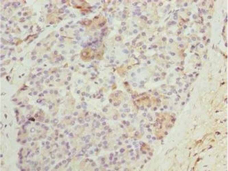
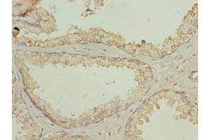
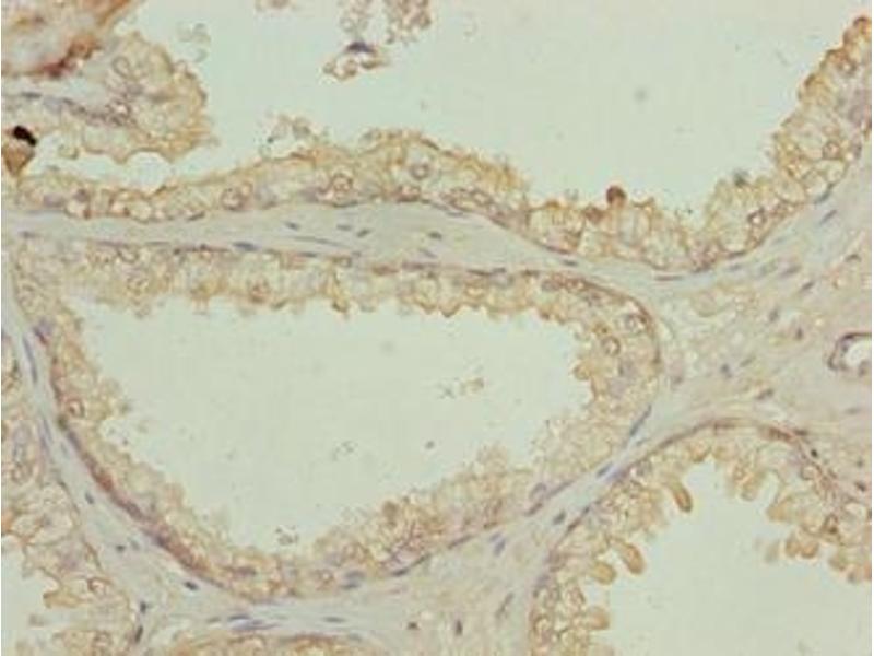
N4BP2L2 antibody (AA 1-300)
Quick Overview for N4BP2L2 antibody (AA 1-300) (ABIN7161122)
Target
See all N4BP2L2 AntibodiesReactivity
Host
Clonality
Conjugate
Application
-
-
Binding Specificity
- AA 1-300
-
Purpose
- N4BP2L2 Antibody
-
Purification
- Protein G purified
-
Purity
- >95 %
-
Immunogen
- Recombinant Human NEDD4-binding protein 2-like 2 protein (1-300AA)
-
Isotype
- IgG
-
-
-
-
Application Notes
- Optimal working dilution should be determined by the investigator.
-
Restrictions
- For Research Use only
-
-
-
Format
- Liquid
-
Buffer
-
Preservative: 0.03 % Proclin 300
Constituents: 50 % Glycerol, 0.01M PBS, PH 7.4 -
Preservative
- ProClin
-
Precaution of Use
- This product contains ProClin: a POISONOUS AND HAZARDOUS SUBSTANCE which should be handled by trained staff only.
-
Storage
- -20 °C,-80 °C
-
Storage Comment
- Upon receipt, store at -20°C or -80°C. Avoid repeated freeze.
-
-
- N4BP2L2 (NEDD4 Binding Protein 2-Like 2 (N4BP2L2))
-
Alternative Name
- N4BP2L2
-
Background
-
Background: extracellular exosome, nucleus, transcriptional repressor complex, enzyme binding, RNA polymerase II transcription corepressor activity, negative regulation of hematopoietic stem cell differentiation, negative regulation of transcription from RNA polymerase II promoter, positive regulation of hematopoietic stem cell proliferation
Aliases: N4BP2L2 antibody, CG005 antibody, PFAAP5 antibody, NEDD4-binding protein 2-like 2 antibody, Phosphonoformate immuno-associated protein 5 antibody
-
UniProt
- Q92802
Target
-