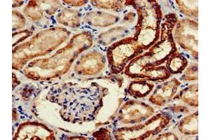
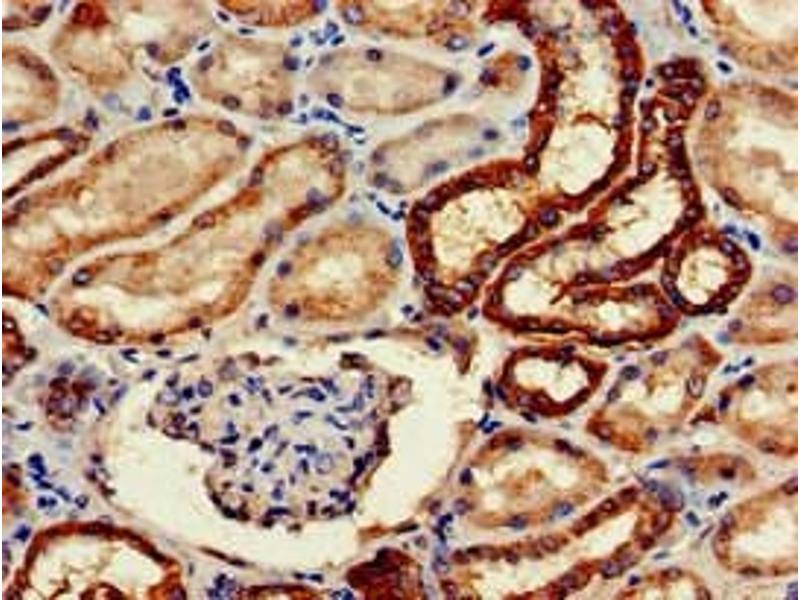
WWP2 antibody (AA 145-367)
Quick Overview for WWP2 antibody (AA 145-367) (ABIN7161126)
Target
See all WWP2 AntibodiesReactivity
Host
Clonality
Conjugate
Application
-
-
Binding Specificity
- AA 145-367
-
Purpose
- WWP2 Antibody
-
Purification
- Protein G purified
-
Purity
- >95 %
-
Immunogen
- Recombinant Human NEDD4-like E3 ubiquitin-protein ligase WWP2 protein (145-367AA)
-
Isotype
- IgG
-
-
-
-
Application Notes
- Optimal working dilution should be determined by the investigator.
-
Restrictions
- For Research Use only
-
-
-
Format
- Liquid
-
Buffer
-
Preservative: 0.03 % Proclin 300
Constituents: 50 % Glycerol, 0.01M PBS, pH 7.4 -
Preservative
- ProClin
-
Precaution of Use
- This product contains ProClin: a POISONOUS AND HAZARDOUS SUBSTANCE which should be handled by trained staff only.
-
Storage
- -20 °C,-80 °C
-
Storage Comment
- Upon receipt, store at -20°C or -80°C. Avoid repeated freeze.
-
-
- WWP2 (WW Domain Containing E3 Ubiquitin Protein Ligase 2 (WWP2))
-
Alternative Name
- WWP2
-
Background
-
Background: E3 ubiquitin-protein ligase which accepts ubiquitin from an E2 ubiquitin-conjugating enzyme in the form of a thioester and then directly transfers the ubiquitin to targeted substrates. Polyubiquitinates POU5F1 by \\\'Lys-63\\\'-linked conjugation and promotes it to proteasomal degradation, in embryonic stem cells (ESCs) the ubiquitination is proposed to regulate POU5F1 protein level. Ubiquitinates EGR2 and promotes it to proteasomal degradation, in T-cells the ubiquitination inhibits activation-induced cell death. Ubiquitinates SLC11A2, the ubiquitination is enhanced by presence of NDFIP1 and NDFIP2. Ubiquitinates RPB1 and promotes it to proteasomal degradation.
Aliases: WWP2NEDD4-like E3 ubiquitin-protein ligase WWP2 antibody, EC 2.3.2.26 antibody, Atrophin-1-interacting protein 2 antibody, AIP2 antibody, HECT-type E3 ubiquitin transferase WWP2 antibody, WW domain-containing protein 2 antibody
-
UniProt
- O00308
-
Pathways
- Negative Regulation of Transporter Activity
Target
-