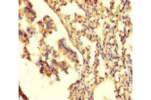
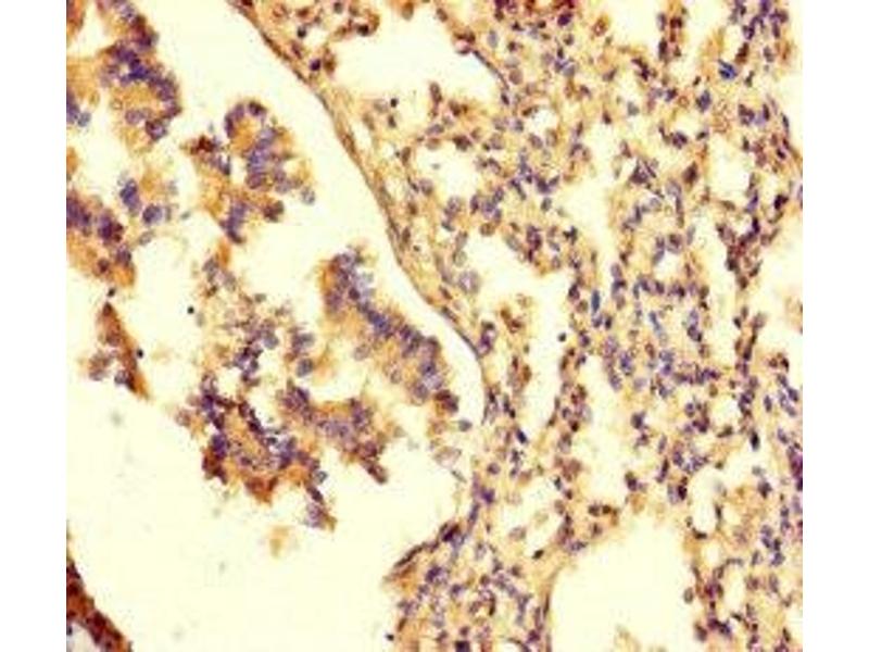
Neurotrypsin antibody (AA 631-874)
Quick Overview for Neurotrypsin antibody (AA 631-874) (ABIN7161472)
Target
See all Neurotrypsin (PRSS12) AntibodiesReactivity
Host
Clonality
Conjugate
Application
-
-
Binding Specificity
- AA 631-874
-
Purpose
- PRSS12 Antibody
-
Purification
- Protein G purified
-
Purity
- >95 %
-
Immunogen
- Recombinant Human Neurotrypsin protein (631-874AA)
-
Isotype
- IgG
-
-
-
-
Application Notes
- Optimal working dilution should be determined by the investigator.
-
Restrictions
- For Research Use only
-
-
-
Format
- Liquid
-
Buffer
-
Preservative: 0.03 % Proclin 300
Constituents: 50 % Glycerol, 0.01M PBS, PH 7.4 -
Preservative
- ProClin
-
Precaution of Use
- This product contains ProClin: a POISONOUS AND HAZARDOUS SUBSTANCE which should be handled by trained staff only.
-
Storage
- -20 °C,-80 °C
-
Storage Comment
- Upon receipt, store at -20°C or -80°C. Avoid repeated freeze.
-
-
- Neurotrypsin (PRSS12) (Protease, serine, 12 (Neurotrypsin, Motopsin) (PRSS12))
-
Alternative Name
- PRSS12
-
Background
-
Background: Plays a role in neuronal plasticity and the proteolytic action may subserve structural reorganizations associated with learning and memory operations.
Aliases: BSSP 3 antibody, BSSP3 antibody, Leydin antibody, MGC12722 antibody, Motopsin antibody, MRT1 antibody, NETR_HUMAN antibody, Neurotrypsin antibody, protease, serine, 12 (neurotrypsin, motopsin) antibody, Prss12 antibody, Serine protease 12 antibody
-
UniProt
- P56730
Target
-