Phone:
+1 877 302 8632
Fax:
+1 888 205 9894 (Toll-free)
E-Mail:
orders@antibodies-online.com

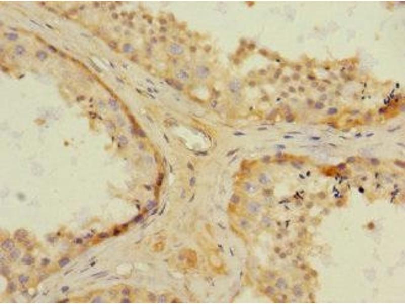
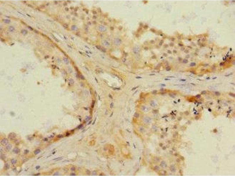
NRBP1 antibody (AA 406-535)

The Rabbit Polyclonal anti-NRBP1 antibody (ABIN7161916) specifically detects NRBP1 in IHC and ELISA. The antibody is reactive with Human samples.
Catalog No. ABIN7161916
$394.68
Plus shipping costs $50.00
Shipping to: United States
Delivery in 13 to 17 Business Days

Quick Overview for NRBP1 antibody (AA 406-535) (ABIN7161916)

Target

See all NRBP1 Antibodies
NRBP1 (Nuclear Receptor Binding Protein 1 (NRBP1))

Reactivity

  • 44
  • 18
  • 7
  • 6
  • 4
  • 4
  • 4
  • 4
  • 4
  • 2
  • 2
  • 1
  • 1
  • 1
  • 1
Human

Host

  • 32
  • 12
Rabbit

Clonality

  • 34
  • 10
Polyclonal

Conjugate

  • 34
  • 2
  • 2
  • 2
  • 2
  • 2
This NRBP1 antibody is un-conjugated

Application

  • 43
  • 20
  • 15
  • 6
  • 5
  • 4
  • 4
  • 2
  • 1
Immunohistochemistry (IHC), ELISA
  • Binding Specificity

    • 8
    • 8
    • 6
    • 4
    • 2
    • 1
    • 1
    • 1
    • 1
    • 1
    • 1
    AA 406-535

    Purpose

    NRBP1 Antibody

    Purification

    Antigen Affinity Purified

    Immunogen

    Recombinant Human Nuclear receptor-binding protein (406-535AA)

    Isotype

    IgG
  • Application Notes

    Optimal working dilution should be determined by the investigator.

    Restrictions

    For Research Use only
  • Format

    Liquid

    Buffer

    PBS with 0.02 % sodium azide, 50 % glycerol, pH 7.3.

    Preservative

    Sodium azide

    Precaution of Use

    This product contains Sodium azide: a POISONOUS AND HAZARDOUS SUBSTANCE which should be handled by trained staff only.

    Storage

    -20 °C,-80 °C

    Storage Comment

    Upon receipt, store at -20°C or -80°C. Avoid repeated freeze.
  • Target

    NRBP1 (Nuclear Receptor Binding Protein 1 (NRBP1))

    Alternative Name

    NRBP1

    Background

    Background: May play a role in subcellular trafficking between the endoplasmic reticulum and Golgi apparatus through interactions with the Rho-type GTPases. Binding to the NS3 protein of dengue virus type 2 appears to subvert this activity into the alteration of the intracellular membrane structure associated with flaviviral replication.

    Aliases: BCON3 antibody, MADM antibody, MUDPNP antibody, Multiple domain putative nuclear protein antibody, Myeloid leukemia factor 1 adaptor molecule antibody, NRBP antibody, NRBP_HUMAN antibody, NRBP1 antibody, Nuclear receptor binding protein antibody, Nuclear receptor-binding protein antibody

    UniProt

    Q9UHY1

    Pathways

    Nuclear Receptor Transcription Pathway
You are here:
Chat with us!