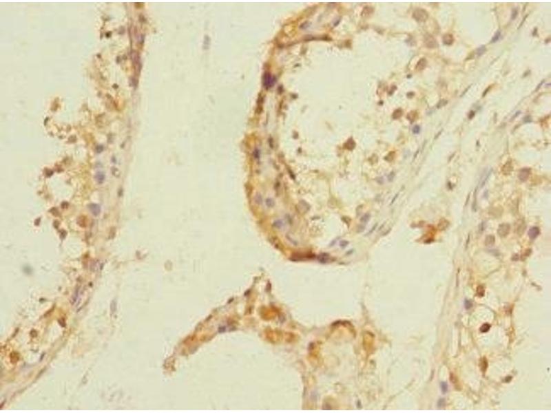
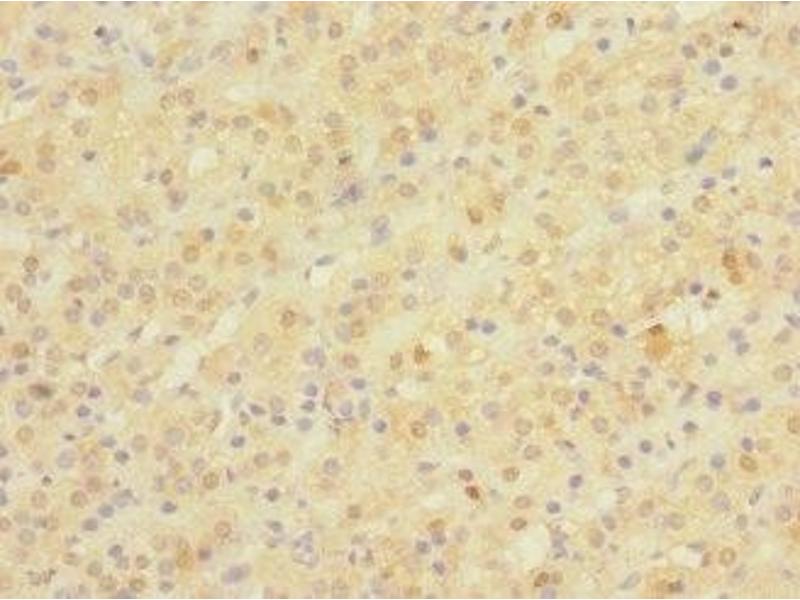
NPM2 antibody (AA 1-136)
Quick Overview for NPM2 antibody (AA 1-136) (ABIN7161998)
Target
See all NPM2 AntibodiesReactivity
Host
Clonality
Conjugate
Application
-
-
Binding Specificity
- AA 1-136
-
Purpose
- NPM2 Antibody
-
Purification
- Protein G purified
-
Purity
- >95 %
-
Immunogen
- Recombinant Human Nucleoplasmin-2 protein (1-136AA)
-
Isotype
- IgG
-
-
-
-
Application Notes
- Optimal working dilution should be determined by the investigator.
-
Restrictions
- For Research Use only
-
-
-
Format
- Liquid
-
Buffer
-
Preservative: 0.03 % Proclin 300
Constituents: 50 % Glycerol, 0.01M PBS, PH 7.4 -
Preservative
- ProClin
-
Precaution of Use
- This product contains ProClin: a POISONOUS AND HAZARDOUS SUBSTANCE which should be handled by trained staff only.
-
Storage
- -20 °C,-80 °C
-
Storage Comment
- Upon receipt, store at -20°C or -80°C. Avoid repeated freeze.
-
-
- NPM2 (Nucleophosmin/nucleoplasmin 2 (NPM2))
-
Alternative Name
- NPM2
-
Background
-
Background: Core histones chaperone involved in chromatin reprogramming, specially during fertilization and early embryonic development. Probably involved in sperm DNA decondensation during fertilization.
Aliases: NPM2 antibody, NPM2_HUMAN antibody, nucleophosmin/nucleoplasmin, 2 antibody, nucleoplasmin 2 antibody, Nucleoplasmin-2 antibody
-
UniProt
- Q86SE8
Target
-