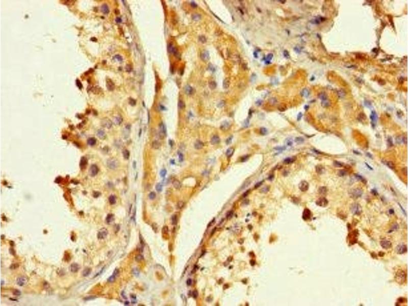
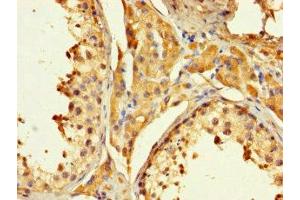
PAGE1 antibody (AA 1-146)
Quick Overview for PAGE1 antibody (AA 1-146) (ABIN7162427)
Target
See all PAGE1 AntibodiesReactivity
Host
Clonality
Conjugate
Application
-
-
Binding Specificity
- AA 1-146
-
Purpose
- PAGE1 Antibody
-
Purification
- Protein G purified
-
Purity
- >95 %
-
Immunogen
- Recombinant Human P antigen family member 1 protein (1-146AA)
-
Isotype
- IgG
-
-
-
-
Application Notes
- Optimal working dilution should be determined by the investigator.
-
Restrictions
- For Research Use only
-
-
-
Format
- Liquid
-
Buffer
-
Preservative: 0.03 % Proclin 300
Constituents: 50 % Glycerol, 0.01M PBS, PH 7.4 -
Preservative
- ProClin
-
Precaution of Use
- This product contains ProClin: a POISONOUS AND HAZARDOUS SUBSTANCE which should be handled by trained staff only.
-
Storage
- -20 °C,-80 °C
-
Storage Comment
- Upon receipt, store at -20°C or -80°C. Avoid repeated freeze.
-
-
- PAGE1 (P Antigen Family, Member 1 (Prostate Associated) (PAGE1))
-
Alternative Name
- PAGE1
-
Background
-
Background: cellular defense response
Aliases: AL5 antibody, G antigen 9 antibody, G antigen family B member 1 antibody, GAGB1_HUMAN antibody, GAGE 9 antibody, GAGE-9 antibody, GAGE9 antibody, GAGEB1 antibody, P antigen family, member 1 (prostate associated) antibody, PAGE 1 antibody, PAGE-1 antibody, PAGE1 antibody, Prostate-associated gene 1 protein antibody
-
UniProt
- O75459
Target
-