Phone:
+1 877 302 8632
Fax:
+1 888 205 9894 (Toll-free)
E-Mail:
orders@antibodies-online.com

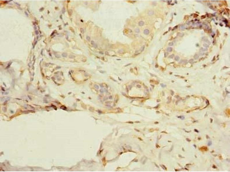
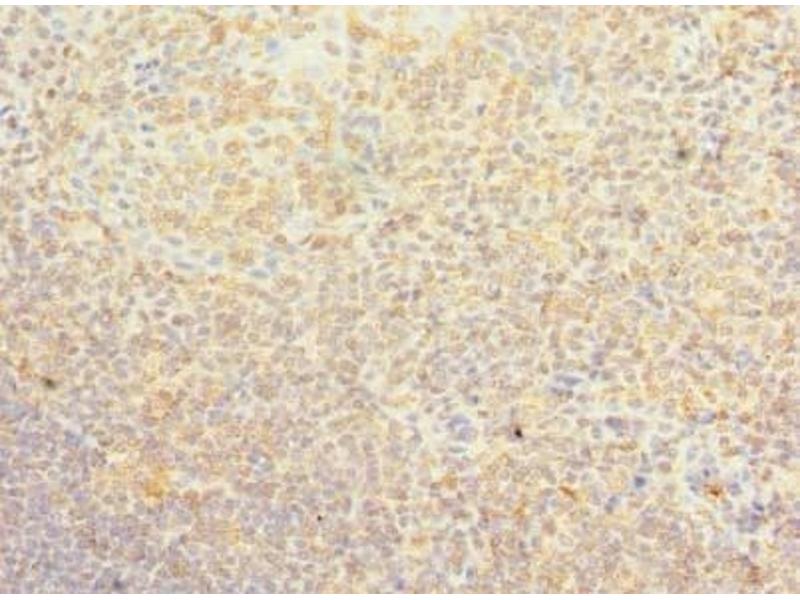
PSD4 antibody (AA 1-300)

This Rabbit Polyclonal antibody specifically detects PSD4 in ELISA and IHC. It exhibits reactivity toward Human.
Catalog No. ABIN7163030
$394.68
Plus shipping costs $50.00
Shipping to: United States
Delivery in 13 to 17 Business Days

Quick Overview for PSD4 antibody (AA 1-300) (ABIN7163030)

Target

See all PSD4 Antibodies
PSD4 (Pleckstrin and Sec7 Domain Containing 4 (PSD4))

Reactivity

  • 8
  • 2
Human

Host

  • 8
Rabbit

Clonality

  • 8
Polyclonal

Conjugate

  • 4
  • 2
  • 1
  • 1
This PSD4 antibody is un-conjugated

Application

  • 4
  • 3
  • 1
  • 1
  • 1
ELISA, Immunohistochemistry (IHC)
  • Binding Specificity

    • 4
    • 1
    • 1
    • 1
    AA 1-300

    Purpose

    PSD4 Antibody

    Purification

    Protein G purified

    Purity

    >95 %

    Immunogen

    Recombinant Human PH and SEC7 domain-containing protein 4 protein (1-300AA)

    Isotype

    IgG
  • Application Notes

    Optimal working dilution should be determined by the investigator.

    Restrictions

    For Research Use only
  • Format

    Liquid

    Buffer

    Preservative: 0.03 % Proclin 300
    Constituents: 50 % Glycerol, 0.01M PBS, PH 7.4

    Preservative

    ProClin

    Precaution of Use

    This product contains ProClin: a POISONOUS AND HAZARDOUS SUBSTANCE which should be handled by trained staff only.

    Storage

    -20 °C,-80 °C

    Storage Comment

    Upon receipt, store at -20°C or -80°C. Avoid repeated freeze.
  • Target

    PSD4 (Pleckstrin and Sec7 Domain Containing 4 (PSD4))

    Alternative Name

    PSD4

    Background

    Background: Guanine nucleotide exchange factor for ARF6 and ARL14/ARF7. Through ARL14 activation, controls the movement of MHC class II-containing vesicles along the actin cytoskeleton in dendritic cells. Involved in membrane recycling. Interacts with several phosphatidylinositol phosphate species, including phosphatidylinositol 3,4-bisphosphate, phosphatidylinositol 3,5-bisphosphate and phosphatidylinositol 4,5-bisphosphate.

    Aliases: EFA6B antibody, Exchange factor for ADP-ribosylation factor guanine nucleotide factor 6B antibody, FLJ36237 antibody, FLJ37279 antibody, PH and SEC7 domain-containing protein 4 antibody, Pleckstrin homology and SEC7 domain-containing protein 4 antibody, Ppleckstrin and Sec7 domain containing 4 antibody, PSD4 antibody, PSD4_HUMAN antibody, SEC7 homolog antibody | telomeric of interleukin-1 cluster protein antibody, Telomeric of interleukin-1 cluster protein antibody, TIC antibody

    UniProt

    Q8NDX1
You are here:
Chat with us!