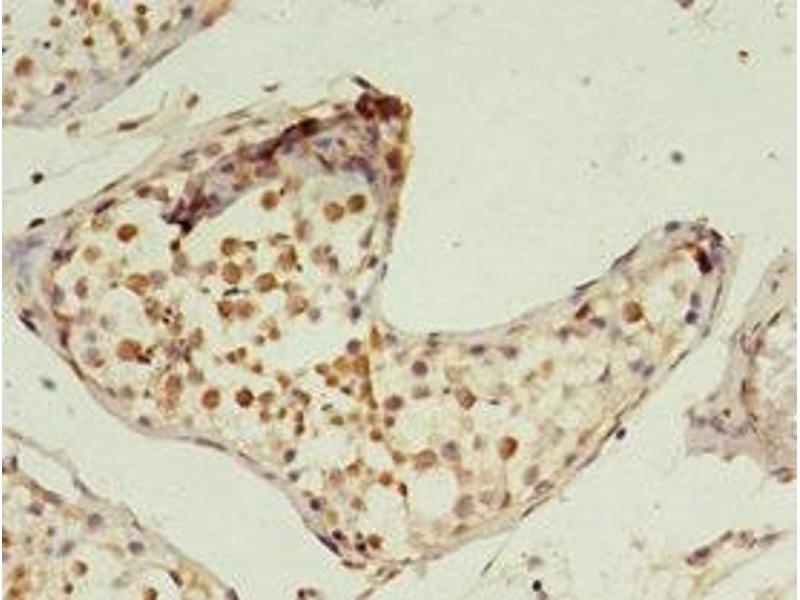
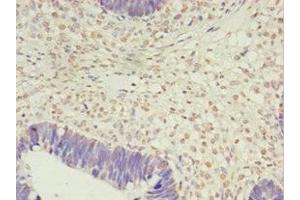
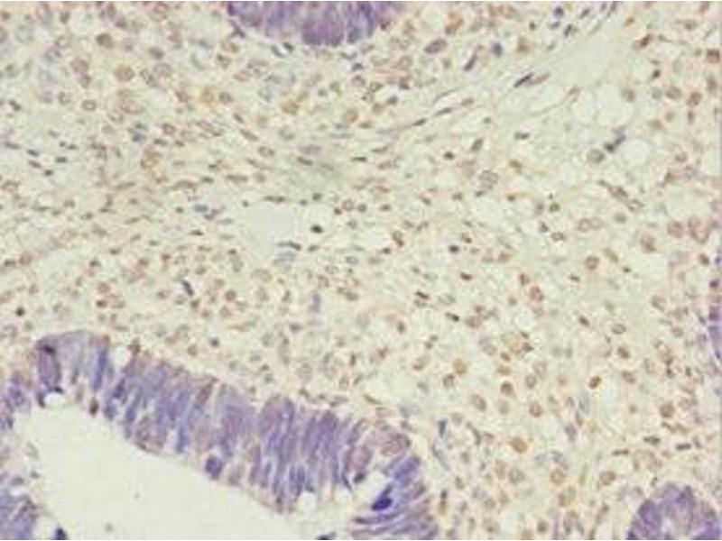
PRTFDC1 antibody (AA 2-225)
Quick Overview for PRTFDC1 antibody (AA 2-225) (ABIN7163399)
Target
See all PRTFDC1 AntibodiesReactivity
Host
Clonality
Conjugate
Application
-
-
Binding Specificity
- AA 2-225
-
Purpose
- PRTFDC1 Antibody
-
Purification
- Protein G purified
-
Purity
- >95 %
-
Immunogen
- Recombinant Human Phosphoribosyltransferase domain-containing protein 1 (2-225AA)
-
Isotype
- IgG
-
-
-
-
Application Notes
- Optimal working dilution should be determined by the investigator.
-
Restrictions
- For Research Use only
-
-
-
Format
- Liquid
-
Buffer
-
Preservative: 0.03 % Proclin 300
Constituents: 50 % Glycerol, 0.01M PBS, PH 7.4 -
Preservative
- ProClin
-
Precaution of Use
- This product contains ProClin: a POISONOUS AND HAZARDOUS SUBSTANCE which should be handled by trained staff only.
-
Storage
- -20 °C,-80 °C
-
Storage Comment
- Upon receipt, store at -20°C or -80°C. Avoid repeated freeze.
-
-
- PRTFDC1 (phosphoribosyl Transferase Domain Containing 1 (PRTFDC1))
-
Alternative Name
- PRTFDC1
-
Background
-
Background: Has low, barely detectable phosphoribosyltransferase activity (in vitro). Binds GMP, IMP and alpha-D-5-phosphoribosyl 1-pyrophosphate (PRPP). Is not expected to contribute to purine metabolism or GMP salvage.
Aliases: FLJ11888 antibody, HHGP antibody, OTTHUMP00000019332 antibody, Phosphoribosyl transferase domain containing 1 antibody, phosphoribosyltransferase domain containing protein 1 antibody, Phosphoribosyltransferase domain-containing protein 1 antibody, PRDC1_HUMAN antibody, prtfdc1 antibody, Uncharacterized protein PRTFDC1 antibody
-
UniProt
- Q9NRG1
-
Pathways
- Ribonucleoside Biosynthetic Process
Target
-