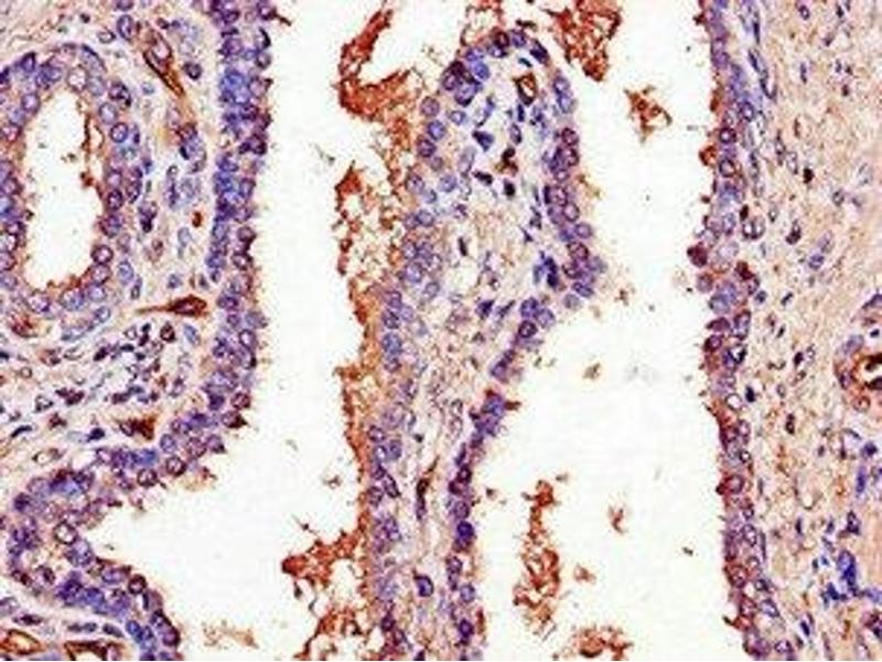
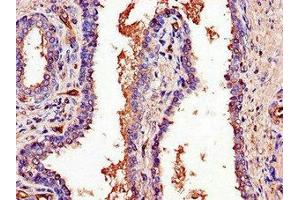
PCOTH antibody (AA 50-100)
Quick Overview for PCOTH antibody (AA 50-100) (ABIN7164882)
Target
See all PCOTH (C1QTNF9B-AS1) AntibodiesReactivity
Host
Clonality
Conjugate
Application
-
-
Binding Specificity
- AA 50-100
-
Purpose
- PCOTH Antibody
-
Purification
- Protein G purified
-
Purity
- >95 %
-
Immunogen
- Recombinant Human Prostate collagen triple helix protein (50-100AA)
-
Isotype
- IgG
-
-
-
-
Application Notes
- Optimal working dilution should be determined by the investigator.
-
Restrictions
- For Research Use only
-
-
-
Format
- Liquid
-
Buffer
-
Preservative: 0.03 % Proclin 300
Constituents: 50 % Glycerol, 0.01M PBS, PH 7.4 -
Preservative
- ProClin
-
Precaution of Use
- This product contains ProClin: a POISONOUS AND HAZARDOUS SUBSTANCE which should be handled by trained staff only.
-
Storage
- -20 °C,-80 °C
-
Storage Comment
- Upon receipt, store at -20°C or -80°C. Avoid repeated freeze.
-
-
- PCOTH (C1QTNF9B-AS1) (C1QTNF9B Antisense RNA 1 (C1QTNF9B-AS1))
-
Alternative Name
- PCOTH
-
Background
-
Background: May be involved in growth and survival of prostate cancer cells through the TAF-Ibeta pathway.
Aliases: C1QTNF9B antisense RNA 1 (non-protein coding) antibody, PCOTH antibody, PCOTH_HUMAN antibody, Prostate collagen triple helix protein antibody, Protein PCOTH antibody
-
UniProt
- Q58A44
Target
-