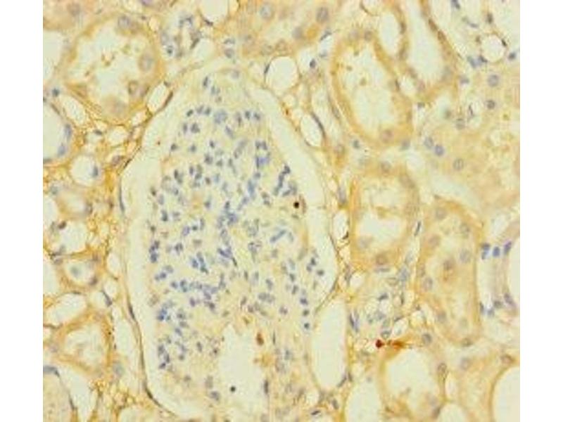
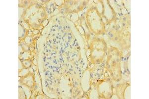
PPTC7 antibody (AA 1-304)
Quick Overview for PPTC7 antibody (AA 1-304) (ABIN7165972)
Target
Reactivity
Host
Clonality
Conjugate
Application
-
-
Binding Specificity
- AA 1-304
-
Purpose
- PPTC7 Antibody
-
Purification
- Protein G purified
-
Purity
- >95 %
-
Immunogen
- Recombinant Human Protein phosphatase PTC7 homolog protein (1-304AA)
-
Isotype
- IgG
-
-
-
-
Application Notes
- Optimal working dilution should be determined by the investigator.
-
Restrictions
- For Research Use only
-
-
-
Format
- Liquid
-
Buffer
-
Preservative: 0.03 % Proclin 300
Constituents: 50 % Glycerol, 0.01M PBS, PH 7.4 -
Preservative
- ProClin
-
Precaution of Use
- This product contains ProClin: a POISONOUS AND HAZARDOUS SUBSTANCE which should be handled by trained staff only.
-
Storage
- -20 °C,-80 °C
-
Storage Comment
- Upon receipt, store at -20°C or -80°C. Avoid repeated freeze.
-
-
- PPTC7 (PTC7 Protein Phosphatase Homolog (PPTC7))
-
Alternative Name
- PPTC7
-
Background
- Pptc7 antibody, PPTC7_HUMAN antibody, Protein phosphatase PTC7 homolog antibody, PTC7 protein phosphatase homolog (S. cerevisiae) antibody, T-cell activation protein phosphatase 2C antibody, T-cell activation protein phosphatase 2C-like antibody, TA-PP2C antibody, TAPP2C antibody
-
UniProt
- Q8NI37
Target
-