Phone:
+1 877 302 8632
Fax:
+1 888 205 9894 (Toll-free)
E-Mail:
orders@antibodies-online.com

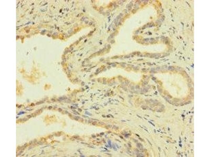
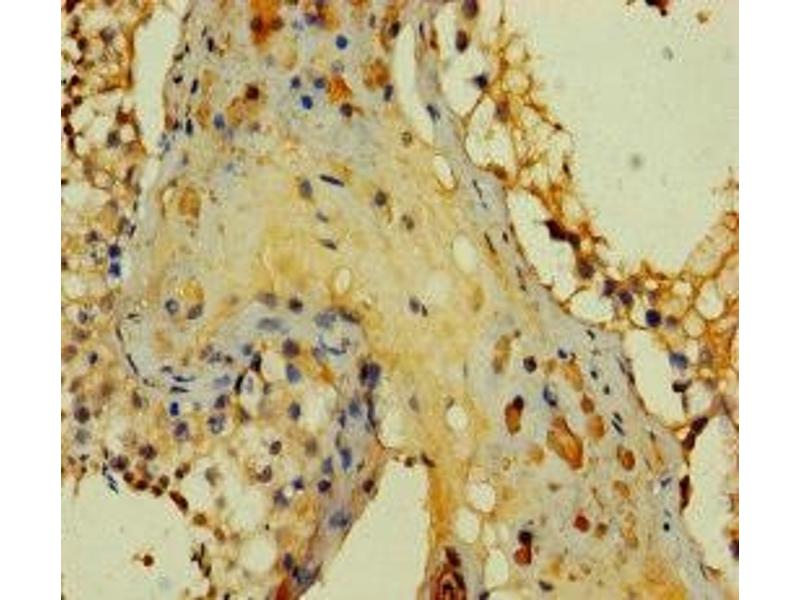
PRY antibody (AA 13-147)

This Rabbit Polyclonal antibody specifically detects PRY in ELISA and IHC. It exhibits reactivity toward Human.
Catalog No. ABIN7166618
$394.68
Plus shipping costs $50.00
Shipping to: United States
Delivery in 13 to 17 Business Days

Quick Overview for PRY antibody (AA 13-147) (ABIN7166618)

Target

See all PRY Antibodies
PRY (PTPN13-Like, Y-Linked (PRY))

Reactivity

Human

Host

  • 6
Rabbit

Clonality

  • 6
Polyclonal

Conjugate

  • 2
  • 2
  • 1
  • 1
This PRY antibody is un-conjugated

Application

ELISA, Immunohistochemistry (IHC)
  • Binding Specificity

    • 4
    • 1
    • 1
    AA 13-147

    Purpose

    PRY Antibody

    Purification

    Protein G purified

    Purity

    >95 %

    Immunogen

    Recombinant Human PTPN13-like protein, Y-linked protein (13-147AA)

    Isotype

    IgG
  • Application Notes

    Optimal working dilution should be determined by the investigator.

    Restrictions

    For Research Use only
  • Format

    Liquid

    Buffer

    Preservative: 0.03 % Proclin 300
    Constituents: 50 % Glycerol, 0.01M PBS, PH 7.4

    Preservative

    ProClin

    Precaution of Use

    This product contains ProClin: a POISONOUS AND HAZARDOUS SUBSTANCE which should be handled by trained staff only.

    Storage

    -20 °C,-80 °C

    Storage Comment

    Upon receipt, store at -20°C or -80°C. Avoid repeated freeze.
  • Target

    PRY (PTPN13-Like, Y-Linked (PRY))

    Alternative Name

    PRY

    Background

    PRY antibody, PRY1 antibody, PTPN13LY, antibody, PRY2 antibody, PTPN13LY2, antibody, PRYP3, antibody, PRYP4 antibody, PTPN13-like protein antibody, Y-linked antibody, Testis-specific PTP-BL-related Y protein antibody

    UniProt

    O14603
You are here:
Chat with us!