Phone:
+1 877 302 8632
Fax:
+1 888 205 9894 (Toll-free)
E-Mail:
orders@antibodies-online.com

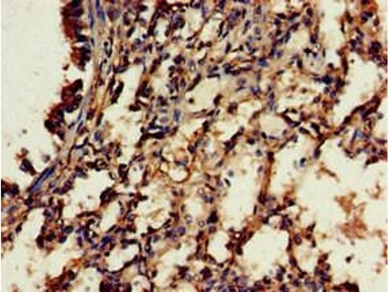
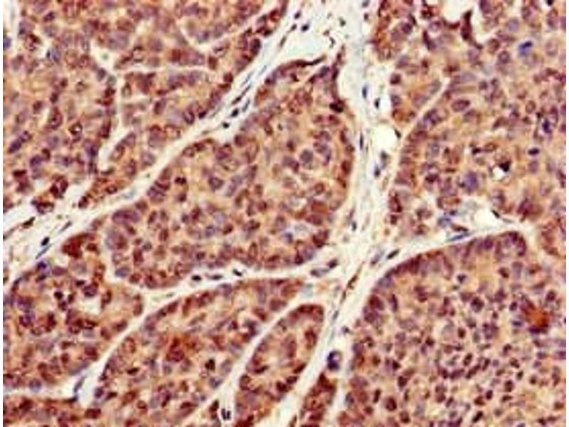
RBFA antibody (AA 201-343)

This Rabbit Polyclonal antibody specifically detects RBFA in WB, ELISA and IHC. It exhibits reactivity toward Human.
Catalog No. ABIN7166771
$394.68
Plus shipping costs $50.00
Shipping to: United States
Delivery in 13 to 17 Business Days

Quick Overview for RBFA antibody (AA 201-343) (ABIN7166771)

Target

See all RBFA Antibodies
RBFA (Ribosome Binding Factor A (RBFA))

Reactivity

  • 14
  • 3
  • 2
Human

Host

  • 12
  • 2
Rabbit

Clonality

  • 14
Polyclonal

Conjugate

  • 10
  • 2
  • 1
  • 1
This RBFA antibody is un-conjugated

Application

  • 10
  • 5
  • 3
  • 2
  • 2
  • 1
  • 1
  • 1
Western Blotting (WB), ELISA, Immunohistochemistry (IHC)
  • Binding Specificity

    • 5
    • 2
    • 1
    • 1
    • 1
    • 1
    • 1
    AA 201-343

    Purpose

    RBFA Antibody

    Cross-Reactivity

    Mouse, Rat

    Purification

    Protein G purified

    Purity

    >95 %

    Immunogen

    Recombinant Human Putative ribosome-binding factor A, mitochondrial protein (201-343AA)

    Isotype

    IgG
  • Application Notes

    Optimal working dilution should be determined by the investigator.

    Restrictions

    For Research Use only
  • Format

    Liquid

    Buffer

    Preservative: 0.03 % Proclin 300
    Constituents: 50 % Glycerol, 0.01M PBS, pH 7.4

    Preservative

    ProClin

    Precaution of Use

    This product contains ProClin: a POISONOUS AND HAZARDOUS SUBSTANCE which should be handled by trained staff only.

    Storage

    -20 °C,-80 °C

    Storage Comment

    Upon receipt, store at -20°C or -80°C. Avoid repeated freeze.
  • Target

    RBFA (Ribosome Binding Factor A (RBFA))

    Alternative Name

    RBFA

    Background

    Chromosome 18 open reading frame 22 antibody, HsT169 antibody, Hypothetical protein LOC79863 antibody, mitochondrial antibody, Putative ribosome binding factor A, mitochondrial precursor antibody, Putative ribosome-binding factor A antibody, rbfA antibody, RBFA_HUMAN antibody

    UniProt

    Q8N0V3
You are here:
Chat with us!