Phone:
+1 877 302 8632
Fax:
+1 888 205 9894 (Toll-free)
E-Mail:
orders@antibodies-online.com

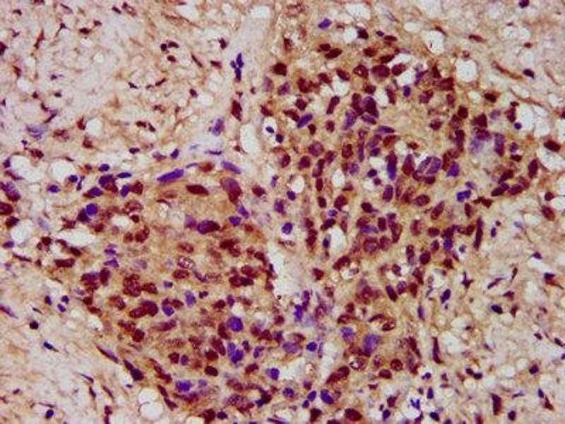
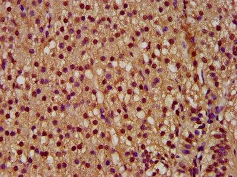
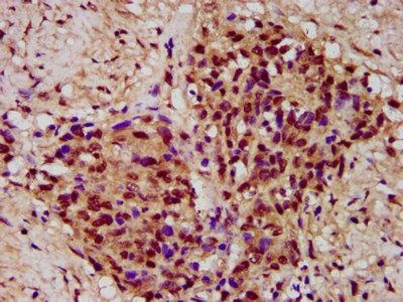
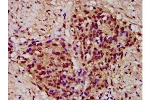
PYGO2 antibody (AA 175-325)

The Rabbit Polyclonal anti-PYGO2 antibody (ABIN7166863) specifically detects PYGO2 in IHC, ELISA and IF. The antibody is reactive with Human samples.
Catalog No. ABIN7166863
$394.68
Plus shipping costs $50.00
Shipping to: United States
Delivery in 13 to 17 Business Days

Quick Overview for PYGO2 antibody (AA 175-325) (ABIN7166863)

Target

See all PYGO2 Antibodies
PYGO2 (Pygopus Homolog 2 (PYGO2))

Reactivity

  • 37
  • 26
  • 7
  • 5
  • 4
  • 4
  • 3
  • 3
  • 2
  • 1
  • 1
Human

Host

  • 38
Rabbit

Clonality

  • 28
  • 10
Polyclonal

Conjugate

  • 18
  • 3
  • 2
  • 2
  • 2
  • 2
  • 2
  • 2
  • 2
  • 1
  • 1
  • 1
This PYGO2 antibody is un-conjugated

Application

  • 24
  • 16
  • 15
  • 15
  • 7
  • 7
  • 3
  • 2
  • 1
Immunohistochemistry (IHC), ELISA, Immunofluorescence (IF)
  • Binding Specificity

    • 4
    • 4
    • 2
    • 2
    • 1
    • 1
    • 1
    AA 175-325

    Purpose

    PYGO2 Antibody

    Purification

    Protein G purified

    Purity

    >95 %

    Immunogen

    Recombinant Human Pygopus homolog 2 protein (175-325AA)

    Isotype

    IgG
  • Application Notes

    Optimal working dilution should be determined by the investigator.

    Restrictions

    For Research Use only
  • Format

    Liquid

    Buffer

    Preservative: 0.03 % Proclin 300
    Constituents: 50 % Glycerol, 0.01M PBS, pH 7.4

    Preservative

    ProClin

    Precaution of Use

    This product contains ProClin: a POISONOUS AND HAZARDOUS SUBSTANCE which should be handled by trained staff only.

    Storage

    -20 °C,-80 °C

    Storage Comment

    Upon receipt, store at -20°C or -80°C. Avoid repeated freeze.
  • Target

    PYGO2 (Pygopus Homolog 2 (PYGO2))

    Alternative Name

    PYGO2

    Background

    Background: Involved in signal transduction through the Wnt pathway.

    Aliases: 1190004M21Rik antibody, FLJ33226 antibody, PP7910 antibody, PYGO2 antibody, Pygo2 protein antibody, PYGO2_HUMAN antibody, Pygopus 2 antibody, pygopus homolog 2 (Drosophila) antibody, Pygopus homolog 2 antibody

    UniProt

    Q9BRQ0

    Pathways

    WNT Signaling
You are here:
Chat with us!