Phone:
+1 877 302 8632
Fax:
+1 888 205 9894 (Toll-free)
E-Mail:
orders@antibodies-online.com

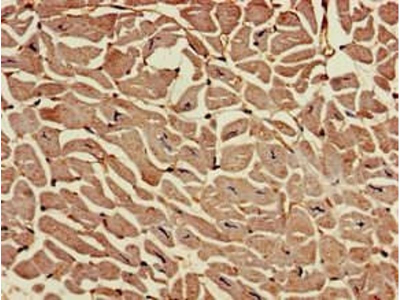
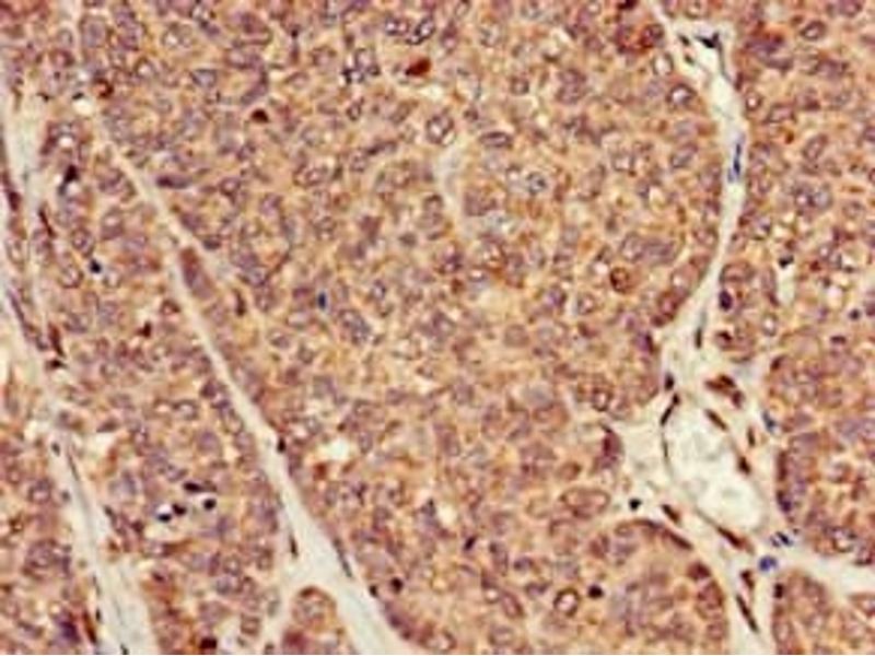
RAI1 antibody (AA 617-823)

The Rabbit Polyclonal anti-RAI1 antibody is suitable to detect RAI1 in samples from Human. It has been validated for ELISA, WB, IHC and IF.
Catalog No. ABIN7167819
$394.68
Plus shipping costs $50.00
Shipping to: United States
Delivery in 13 to 17 Business Days

Quick Overview for RAI1 antibody (AA 617-823) (ABIN7167819)

Target

See all RAI1 Antibodies
RAI1 (Retinoic Acid Induced 1 (RAI1))

Reactivity

  • 14
  • 2
  • 1
Human

Host

  • 11
  • 1
Rabbit

Clonality

  • 13
  • 1
Polyclonal

Conjugate

  • 10
  • 2
  • 1
  • 1
This RAI1 antibody is un-conjugated

Application

  • 8
  • 7
  • 3
  • 2
  • 2
  • 1
  • 1
  • 1
  • 1
ELISA, Western Blotting (WB), Immunohistochemistry (IHC), Immunofluorescence (IF)
  • Binding Specificity

    • 4
    • 2
    • 2
    • 2
    • 1
    • 1
    • 1
    AA 617-823

    Purpose

    RAI1 Antibody

    Purification

    Protein G purified

    Purity

    >95 %

    Immunogen

    Recombinant Human Retinoic acid-induced protein 1 protein (617-823AA)

    Isotype

    IgG
  • Application Notes

    Optimal working dilution should be determined by the investigator.

    Restrictions

    For Research Use only
  • Format

    Liquid

    Buffer

    Preservative: 0.03 % Proclin 300
    Constituents: 50 % Glycerol, 0.01M PBS, pH 7.4

    Preservative

    ProClin

    Precaution of Use

    This product contains ProClin: a POISONOUS AND HAZARDOUS SUBSTANCE which should be handled by trained staff only.

    Storage

    -20 °C,-80 °C

    Storage Comment

    Upon receipt, store at -20°C or -80°C. Avoid repeated freeze.
  • Target

    RAI1 (Retinoic Acid Induced 1 (RAI1))

    Alternative Name

    RAI1

    Background

    Background: Transcriptional regulator of the circadian clock components: CLOCK, ARNTL/BMAL1, ARNTL2/BMAL2, PER1/3, CRY1/2, NR1D1/2 and RORA/C. Positively regulates the transcriptional activity of CLOCK a core component of the circadian clock. Regulates transcription through chromatin remodeling by interacting with other proteins in chromatin as well as proteins in the basic transcriptional machinery. May be important for embryonic and postnatal development. May be involved in neuronal differentiation.

    Aliases: RAI1 antibody, KIAA1820 antibody, Retinoic acid-induced protein 1 antibody

    UniProt

    Q7Z5J4
You are here:
Chat with us!