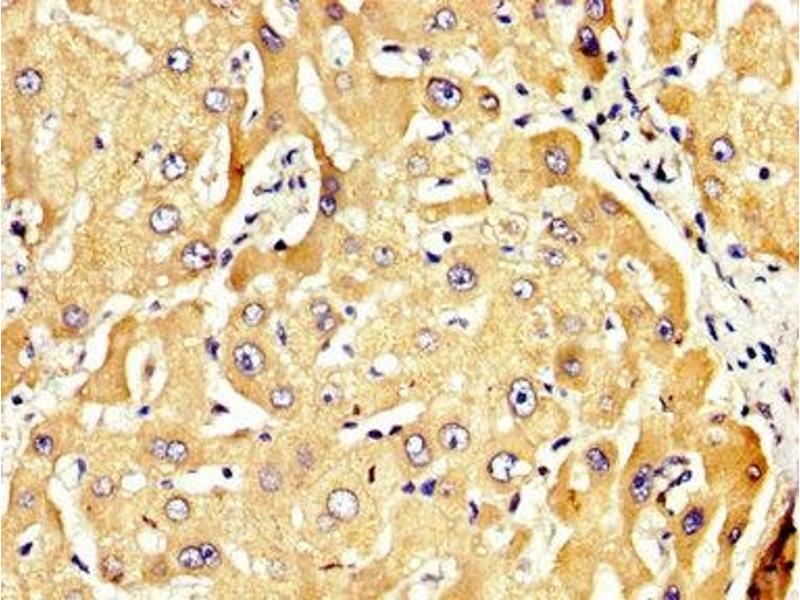
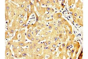
RECK antibody (AA 23-212)
Quick Overview for RECK antibody (AA 23-212) (ABIN7167891)
Target
See all RECK AntibodiesReactivity
Host
Clonality
Conjugate
Application
-
-
Binding Specificity
- AA 23-212
-
Purpose
- RECK Antibody
-
Purification
- Protein G purified
-
Purity
- >95 %
-
Immunogen
- Recombinant Human Reversion-inducing cysteine-rich protein with Kazal motifs protein (23-212AA)
-
Isotype
- IgG
-
-
-
-
Application Notes
- Optimal working dilution should be determined by the investigator.
-
Restrictions
- For Research Use only
-
-
-
Format
- Liquid
-
Buffer
-
Preservative: 0.03 % Proclin 300
Constituents: 50 % Glycerol, 0.01M PBS, pH 7.4 -
Preservative
- ProClin
-
Precaution of Use
- This product contains ProClin: a POISONOUS AND HAZARDOUS SUBSTANCE which should be handled by trained staff only.
-
Storage
- -20 °C,-80 °C
-
Storage Comment
- Upon receipt, store at -20°C or -80°C. Avoid repeated freeze.
-
-
- RECK (Reversion-Inducing-Cysteine-Rich Protein with Kazal Motifs (RECK))
-
Alternative Name
- RECK
-
Background
-
Background: Negatively regulates matrix metalloproteinase-9 (MMP-9) by suppressing MMP-9 secretion and by direct inhibition of its enzymatic activity. RECK down-regulation by oncogenic signals may facilitate tumor invasion and metastasis. Appears to also regulate MMP-2 and MT1-MMP, which are involved in cancer progression.
Aliases: hRECK antibody, Membrane anchored glycoprotein (metastasis and invasion) antibody, RECK antibody, RECK protein antibody, RECK_HUMAN antibody, Reversion inducing cysteine rich protein with Kazal motifs antibody, Reversion-inducing cysteine-rich protein with Kazal motifs antibody, ST15 antibody, Suppression of tumorigenicity 15 (reversion inducing cysteine rich protein with kazal motifs) antibody, Suppressor of tumorigenicity 15 antibody, Suppressor of tumorigenicity 15 protein antibody
-
UniProt
- O95980
Target
-