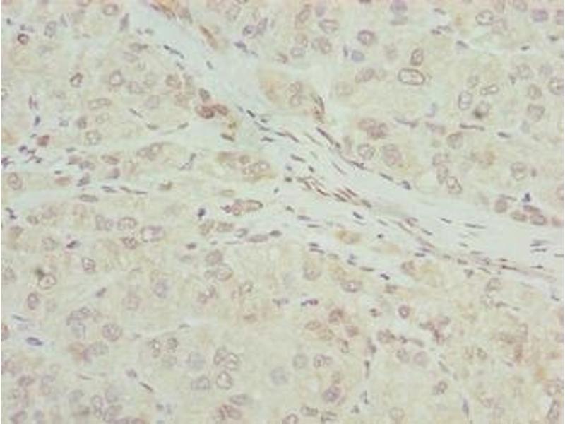
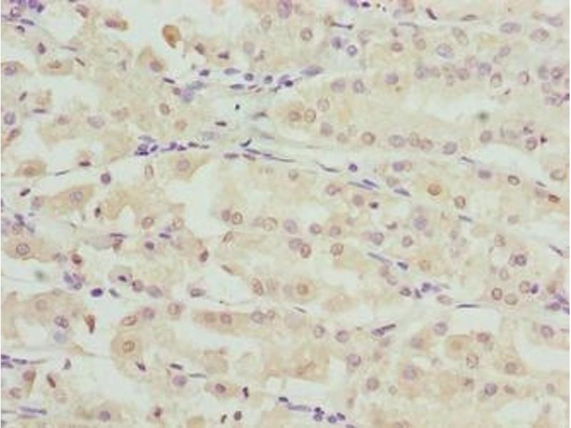
RIBC2 antibody (AA 1-309)
Quick Overview for RIBC2 antibody (AA 1-309) (ABIN7168087)
Target
See all RIBC2 AntibodiesReactivity
Host
Clonality
Conjugate
Application
-
-
Binding Specificity
- AA 1-309
-
Purpose
- RIBC2 Antibody
-
Purification
- Antigen Affinity Purified
-
Immunogen
- Recombinant Human RIB43A-like with coiled-coils protein 2 protein (1-309AA)
-
Isotype
- IgG
-
-
-
-
Application Notes
- Optimal working dilution should be determined by the investigator.
-
Restrictions
- For Research Use only
-
-
-
Format
- Liquid
-
Buffer
-
Preservative: 0.03 % Proclin 300
Constituents: 50 % Glycerol, 0.01M PBS, PH 7.4 -
Preservative
- ProClin
-
Precaution of Use
- This product contains ProClin: a POISONOUS AND HAZARDOUS SUBSTANCE which should be handled by trained staff only.
-
Storage
- -20 °C,-80 °C
-
Storage Comment
- Upon receipt, store at -20°C or -80°C. Avoid repeated freeze.
-
-
- RIBC2 (RIB43A Domain with Coiled-Coils 2 (RIBC2))
-
Alternative Name
- RIBC2
-
Background
-
Background: nucleus
Aliases: 4930579A10Rik antibody, C22orf11 antibody, MGC130587 antibody, RGD1309033 antibody, RIB43A domain with coiled-coils 2 antibody, RIB43A-like with coiled-coils protein 2 antibody, RIBC2 antibody, RIBC2_HUMAN antibody, Testis specific ribbon protein antibody, Trib antibody
-
UniProt
- Q9H4K1
Target
-