Phone:
+1 877 302 8632
Fax:
+1 888 205 9894 (Toll-free)
E-Mail:
orders@antibodies-online.com

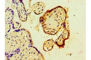
TARBP2 antibody (AA 1-366)

This Rabbit Polyclonal antibody specifically detects TARBP2 in IHC and ELISA. It exhibits reactivity toward Human.
Catalog No. ABIN7168268
$394.68
Plus shipping costs $50.00
Shipping to: United States
Delivery in 13 to 17 Business Days

Quick Overview for TARBP2 antibody (AA 1-366) (ABIN7168268)

Target

See all TARBP2 Antibodies
TARBP2 (TAR (HIV-1) RNA Binding Protein 2 (TARBP2))

Reactivity

  • 37
  • 13
  • 11
  • 4
  • 3
  • 2
  • 2
  • 2
  • 2
  • 2
  • 1
  • 1
  • 1
  • 1
  • 1
  • 1
Human

Host

  • 29
  • 8
Rabbit

Clonality

  • 27
  • 10
Polyclonal

Conjugate

  • 34
  • 1
  • 1
  • 1
This TARBP2 antibody is un-conjugated

Application

  • 36
  • 18
  • 15
  • 10
  • 5
  • 5
  • 4
  • 3
  • 1
Immunohistochemistry (IHC), ELISA
  • Binding Specificity

    • 6
    • 5
    • 3
    • 2
    • 1
    • 1
    • 1
    • 1
    • 1
    • 1
    • 1
    • 1
    • 1
    AA 1-366

    Purpose

    TARBP2 Antibody

    Purification

    Antigen Affinity Purified

    Immunogen

    Recombinant Human RISC-loading complex subunit TARBP2 protein (1-366AA)

    Isotype

    IgG
  • Application Notes

    Optimal working dilution should be determined by the investigator.

    Restrictions

    For Research Use only
  • Format

    Liquid

    Buffer

    PBS with 0.02 % sodium azide, 50 % glycerol, pH 7.3.

    Preservative

    Sodium azide

    Precaution of Use

    This product contains Sodium azide: a POISONOUS AND HAZARDOUS SUBSTANCE which should be handled by trained staff only.

    Storage

    -20 °C,-80 °C

    Storage Comment

    Upon receipt, store at -20°C or -80°C. Avoid repeated freeze.
  • Target

    TARBP2 (TAR (HIV-1) RNA Binding Protein 2 (TARBP2))

    Alternative Name

    TARBP2

    Background

    Background: Required for formation of the RNA induced silencing complex (RISC). Component of the RISC loading complex (RLC), also known as the micro-RNA (miRNA) loading complex (miRLC), which is composed of DICER1, AGO2 and TARBP2. Within the RLC/miRLC, DICER1 and TARBP2 are required to process precursor miRNAs (pre-miRNAs) to mature miRNAs and then load them onto AGO2. AGO2 bound to the mature miRNA constitutes the minimal RISC and may subsequently dissociate from DICER1 and TARBP2. May also play a role in the production of short interfering RNAs (siRNAs) from double-stranded RNA (dsRNA) by DICER1. Binds to the HIV-1 TAR RNA which is located in the long terminal repeat (LTR) of HIV-1, and stimulates translation of TAR-containing RNAs. This is achieved in part at least by binding to and inhibiting EIF2AK2/PKR, thereby reducing phosphorylation and inhibition of EIF2S1/eIF-2-alpha. May also promote translation of TAR-containing RNAs independently of EIF2AK2/PKR.

    Aliases: LOQS antibody, Prbp antibody, RISC loading complex subunit TARBP2 antibody, RISC-loading complex subunit tarbp2 antibody, TAR (HIV 1) RNA binding protein 2 antibody, TAR (HIV) RNA binding protein 2 antibody, TAR (HIV) RNA-binding protein TRBP1 antibody, TAR RNA Binding Protein 2 antibody, TAR RNA-binding protein 2 antibody, tarbp2 antibody, TARBP2 RISC loading complex RNA binding subunit antibody, Trans-activation-responsive RNA-binding protein antibody, TRBP antibody, TRBP1 antibody, TRBP2 antibody, TRBP2_HUMAN antibody

    UniProt

    Q15633

    Pathways

    Regulatory RNA Pathways, Ribonucleoprotein Complex Subunit Organization
You are here:
Chat with us!