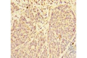
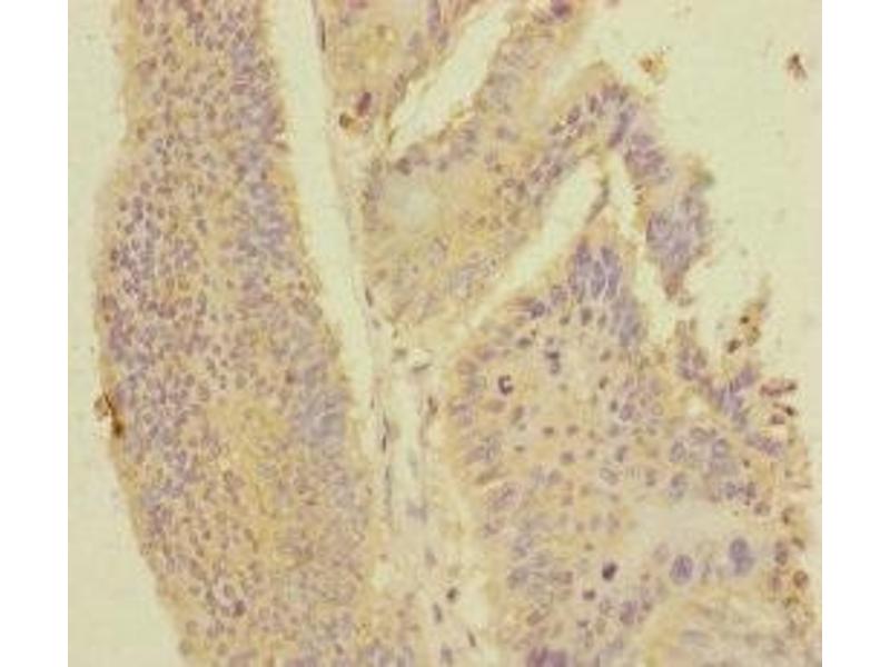
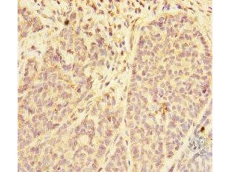
PDE6A antibody (AA 656-860)
Quick Overview for PDE6A antibody (AA 656-860) (ABIN7168416)
Target
See all PDE6A AntibodiesReactivity
Host
Clonality
Conjugate
Application
-
-
Binding Specificity
- AA 656-860
-
Purpose
- PDE6A Antibody
-
Purification
- Antigen Affinity Purified
-
Immunogen
- Recombinant Human Rod cGMP-specific 3\\\',5\\\'-cyclic phosphodiesterase subunit alpha protein (656-860AA)
-
Isotype
- IgG
-
-
-
-
Application Notes
- Optimal working dilution should be determined by the investigator.
-
Restrictions
- For Research Use only
-
-
-
Format
- Liquid
-
Buffer
- PBS with 0.02 % sodium azide, 50 % glycerol, pH 7.3.
-
Preservative
- Sodium azide
-
Precaution of Use
- This product contains Sodium azide: a POISONOUS AND HAZARDOUS SUBSTANCE which should be handled by trained staff only.
-
Storage
- -20 °C,-80 °C
-
Storage Comment
- Upon receipt, store at -20°C or -80°C. Avoid repeated freeze.
-
-
- PDE6A (phosphodiesterase 6A, CGMP-Specific, Rod, alpha (PDE6A))
-
Alternative Name
- PDE6A
-
Background
-
Background: This protein participates in processes of transmission and amplification of the visual signal.
Aliases: 5''-cyclic phosphodiesterase subunit alpha antibody, CGPR A antibody, GMP PDE alpha antibody, GMP-PDE alpha antibody, PDE 6 alpha antibody, PDE 6A antibody, PDE V B1 antibody, PDE V-B1 antibody, PDE6A antibody, PDE6A_HUMAN antibody, PDEA antibody, Phosphodiesterase 6 alpha antibody, Phosphodiesterase 6A alpha subunit antibody, Phosphodiesterase 6A antibody, Phosphodiesterase 6A cGMP specific rod alpha antibody, Retinal Rod Photoreceptor cGMP Phosphodiesterase alpha antibody, Rod cGMP specific 3' 5' cyclic phosphodiesterase alpha subunit antibody, Rod cGMP-specific 3'' antibody
-
UniProt
- P16499
-
Pathways
- Regulation of G-Protein Coupled Receptor Protein Signaling, Phototransduction
Target
-