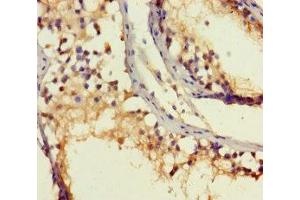
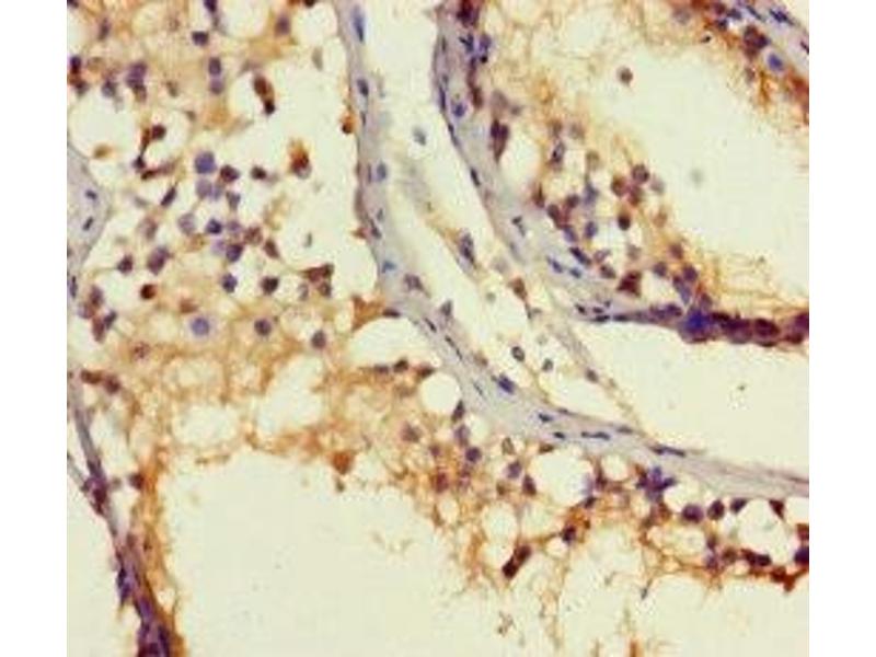
ROPN1B antibody (AA 1-120)
Quick Overview for ROPN1B antibody (AA 1-120) (ABIN7168428)
Target
See all ROPN1B AntibodiesReactivity
Host
Clonality
Conjugate
Application
-
-
Binding Specificity
- AA 1-120
-
Purpose
- ROPN1B Antibody
-
Purification
- Protein G purified
-
Purity
- >95 %
-
Immunogen
- Recombinant Human Ropporin-1B protein (1-120AA)
-
Isotype
- IgG
-
-
-
-
Application Notes
- Optimal working dilution should be determined by the investigator.
-
Restrictions
- For Research Use only
-
-
-
Format
- Liquid
-
Buffer
-
Preservative: 0.03 % Proclin 300
Constituents: 50 % Glycerol, 0.01M PBS, PH 7.4 -
Preservative
- ProClin
-
Precaution of Use
- This product contains ProClin: a POISONOUS AND HAZARDOUS SUBSTANCE which should be handled by trained staff only.
-
Storage
- -20 °C,-80 °C
-
Storage Comment
- Upon receipt, store at -20°C or -80°C. Avoid repeated freeze.
-
-
- ROPN1B (Ropporin, Rhophilin Associated Protein 1B (ROPN1B))
-
Alternative Name
- ROPN1B
-
Background
- AKAP binding sperm protein ropporin antibody, Rhophilin associated protein 1B antibody, Rhophilin-associated protein 1B antibody, ROP1B_HUMAN antibody, ROPN 1B antibody, ROPN1B antibody, Ropporin 1B antibody, Ropporin rhophilin associated protein 1B antibody, Ropporin-1B antibody
-
UniProt
- Q9BZX4
Target
-