Phone:
+1 877 302 8632
Fax:
+1 888 205 9894 (Toll-free)
E-Mail:
orders@antibodies-online.com

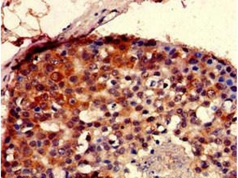
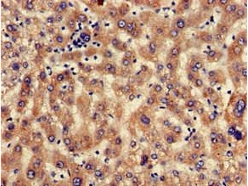
SEC23IP antibody (AA 779-989)

The Rabbit Polyclonal anti-SEC23IP antibody is suitable to detect SEC23IP in samples from Human. It has been validated for WB, ELISA, IF and IHC.
Catalog No. ABIN7168659
$394.68
Plus shipping costs $50.00
Shipping to: United States
Delivery in 13 to 17 Business Days

Quick Overview for SEC23IP antibody (AA 779-989) (ABIN7168659)

Target

See all SEC23IP Antibodies
SEC23IP (SEC23 Interacting Protein (SEC23IP))

Reactivity

  • 33
  • 9
  • 9
  • 6
  • 6
  • 5
  • 5
  • 5
  • 2
  • 2
  • 2
Human

Host

  • 29
  • 4
Rabbit

Clonality

  • 32
  • 1
Polyclonal

Conjugate

  • 24
  • 3
  • 2
  • 2
  • 1
  • 1
This SEC23IP antibody is un-conjugated

Application

  • 28
  • 12
  • 9
  • 5
  • 3
  • 3
  • 2
  • 2
  • 1
Western Blotting (WB), ELISA, Immunofluorescence (IF), Immunohistochemistry (IHC)
  • Binding Specificity

    • 9
    • 5
    • 4
    • 3
    • 2
    • 2
    • 1
    • 1
    • 1
    • 1
    • 1
    • 1
    • 1
    • 1
    AA 779-989

    Purpose

    SEC23IP Antibody

    Purification

    Protein G purified

    Purity

    >95 %

    Immunogen

    Recombinant Human SEC23-interacting protein (779-989AA)

    Isotype

    IgG
  • Application Notes

    Optimal working dilution should be determined by the investigator.

    Restrictions

    For Research Use only
  • Format

    Liquid

    Buffer

    Preservative: 0.03 % Proclin 300
    Constituents: 50 % Glycerol, 0.01M PBS, pH 7.4

    Preservative

    ProClin

    Precaution of Use

    This product contains ProClin: a POISONOUS AND HAZARDOUS SUBSTANCE which should be handled by trained staff only.

    Storage

    -20 °C,-80 °C

    Storage Comment

    Upon receipt, store at -20°C or -80°C. Avoid repeated freeze.
  • Target

    SEC23IP (SEC23 Interacting Protein (SEC23IP))

    Alternative Name

    SEC23IP

    Background

    Background: Plays a role in the organization of endoplasmic reticulum exit sites. Specifically binds to phosphatidylinositol 3-phosphate (PI(3)P), phosphatidylinositol 4-phosphate (PI(4)P) and phosphatidylinositol 5-phosphate (PI(5)P).

    Aliases: MSTP053 antibody, p125 antibody, P125A antibody, Phospholipase antibody, S23IP_HUMAN antibody, Sec23 interacting protein p125 antibody, SEC23-interacting protein antibody, SEC23IP antibody

    UniProt

    Q9Y6Y8
You are here:
Chat with us!