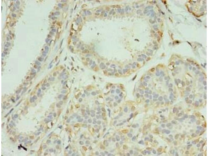
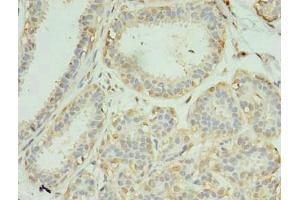
SCAMP4 antibody (AA 170-228)
Quick Overview for SCAMP4 antibody (AA 170-228) (ABIN7168731)
Target
See all SCAMP4 AntibodiesReactivity
Host
Clonality
Conjugate
Application
-
-
Binding Specificity
- AA 170-228
-
Purpose
- SCAMP4 Antibody
-
Purification
- Protein G purified
-
Purity
- >95 %
-
Immunogen
- Recombinant Human Secretory carrier-associated membrane protein 4 protein (170-228AA)
-
Isotype
- IgG
-
-
-
-
Application Notes
- Optimal working dilution should be determined by the investigator.
-
Restrictions
- For Research Use only
-
-
-
Format
- Liquid
-
Buffer
-
Preservative: 0.03 % Proclin 300
Constituents: 50 % Glycerol, 0.01M PBS, PH 7.4 -
Preservative
- ProClin
-
Precaution of Use
- This product contains ProClin: a POISONOUS AND HAZARDOUS SUBSTANCE which should be handled by trained staff only.
-
Storage
- -20 °C,-80 °C
-
Storage Comment
- Upon receipt, store at -20°C or -80°C. Avoid repeated freeze.
-
-
- SCAMP4 (Secretory Carrier Membrane Protein 4 (SCAMP4))
-
Alternative Name
- SCAMP4
-
Background
-
Background: Probably involved in membrane protein trafficking.
Aliases: FLJ33847 antibody, FLJ90105 antibody, SCAM4_HUMAN antibody, SCAMP 4 antibody, SCAMP4 antibody, Secretory carrier membrane protein 4 antibody, Secretory carrier-associated membrane protein 4 antibody
-
UniProt
- Q969E2
Target
-