Phone:
+1 877 302 8632
Fax:
+1 888 205 9894 (Toll-free)
E-Mail:
orders@antibodies-online.com

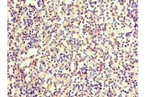
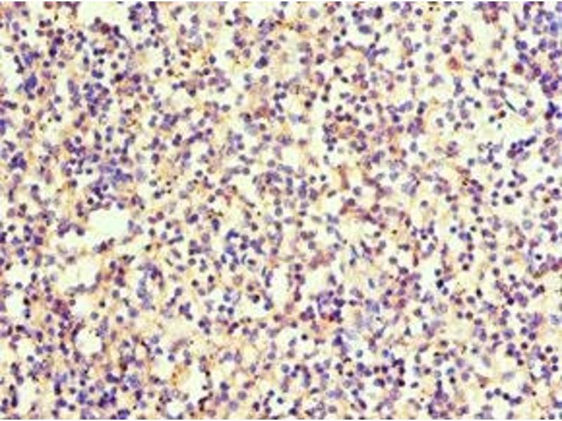
SRGN antibody (AA 28-158)

The Rabbit Polyclonal anti-SRGN antibody (ABIN7168879) specifically detects SRGN in IHC and ELISA. The antibody is reactive with Human samples.
Catalog No. ABIN7168879
$394.68
Plus shipping costs $50.00
Shipping to: United States
Delivery in 13 to 17 Business Days

Quick Overview for SRGN antibody (AA 28-158) (ABIN7168879)

Target

See all SRGN Antibodies
SRGN (serglycin (SRGN))

Reactivity

  • 26
  • 8
  • 4
  • 2
  • 2
  • 2
  • 1
Human

Host

  • 26
  • 8
Rabbit

Clonality

  • 26
  • 8
Polyclonal

Conjugate

  • 20
  • 4
  • 3
  • 1
  • 1
  • 1
  • 1
  • 1
  • 1
  • 1
This SRGN antibody is un-conjugated

Application

  • 22
  • 16
  • 8
  • 7
  • 7
  • 2
  • 2
  • 1
  • 1
  • 1
  • 1
  • 1
  • 1
  • 1
Immunohistochemistry (IHC), ELISA
  • Binding Specificity

    • 4
    • 3
    • 2
    • 2
    • 1
    • 1
    • 1
    • 1
    • 1
    • 1
    • 1
    • 1
    • 1
    AA 28-158

    Purpose

    SRGN Antibody

    Purification

    Antigen Affinity Purified

    Immunogen

    Recombinant Human Serglycin protein (28-158AA)

    Isotype

    IgG
  • Application Notes

    Optimal working dilution should be determined by the investigator.

    Restrictions

    For Research Use only
  • Format

    Liquid

    Buffer

    PBS with 0.02 % sodium azide, 50 % glycerol, pH 7.3.

    Preservative

    Sodium azide

    Precaution of Use

    This product contains Sodium azide: a POISONOUS AND HAZARDOUS SUBSTANCE which should be handled by trained staff only.

    Storage

    -20 °C,-80 °C

    Storage Comment

    Upon receipt, store at -20°C or -80°C. Avoid repeated freeze.
  • Target

    SRGN (serglycin (SRGN))

    Alternative Name

    SRGN

    Background

    Background: Plays a role in formation of mast cell secretory granules and mediates storage of various compounds in secretory vesicles. Required for storage of some proteases in both connective tissue and mucosal mast cells and for storage of granzyme B in T-lymphocytes. Plays a role in localizing neutrophil elastase in azurophil granules of neutrophils. Mediates processing of MMP2. Plays a role in cytotoxic cell granule-mediated apoptosis by forming a complex with granzyme B which is delivered to cells by perforin to induce apoptosis. Regulates the secretion of TNF-alpha and may also regulate protease secretion. Inhibits bone mineralization.

    Aliases: Chondroitin sulfate proteoglycan core protein antibody, Cytolytic granule proteoglycan core protein antibody, FLJ12930 antibody, gp600 antibody, Hematopoetic proteoglycan core protein antibody, Mastocytoma proteoglycan core protein antibody, MGC9289 antibody, OTTHUMP00000019716 antibody, P.PG antibody, PG19 core protein antibody, Pgsg antibody, Platelet proteoglycan core protein antibody, platelet proteoglycan protein core antibody, PLATELET PROTEOGLYCAN PROTEIN CORE, PPG antibody, PPG antibody, PRG antibody, PRG1 antibody, PROTEOGLYCAN 1 antibody, proteoglycan 1, secretory granule antibody, Proteoglycan 10K core protein antibody, Proteoglycan peptide core protein antibody, PROTEOGLYCAN PROTEIN CORE FOR MAST CELL SECRETORY GRANULE antibody, secretory granule proteoglycan 1 antibody, Secretory granule proteoglycan core peptide antibody, Secretory granule proteoglycan core protein antibody, Serglycin antibody, serglycin proteoglycan antibody, Sgc antibody, Srgn antibody, SRGN_HUMAN antibody

    UniProt

    P10124

    Pathways

    Maintenance of Protein Location
You are here:
Chat with us!