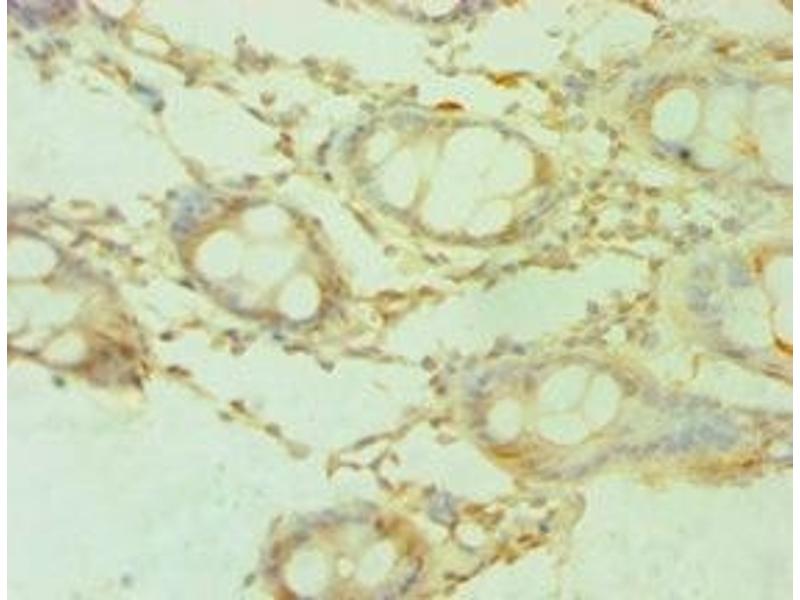
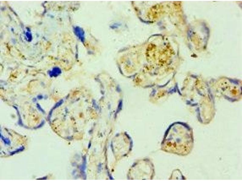
SHMT1 antibody (AA 324-483)
Quick Overview for SHMT1 antibody (AA 324-483) (ABIN7168889)
Target
See all SHMT1 AntibodiesReactivity
Host
Clonality
Conjugate
Application
-
-
Binding Specificity
- AA 324-483
-
Purpose
- SHMT1 Antibody
-
Purification
- Antigen Affinity Purified
-
Immunogen
- Recombinant Human Serine hydroxymethyltransferase, cytosolic protein (324-483AA)
-
Isotype
- IgG
-
-
-
-
Application Notes
- Optimal working dilution should be determined by the investigator.
-
Restrictions
- For Research Use only
-
-
-
Format
- Liquid
-
Buffer
- PBS with 0.02 % sodium azide, 50 % glycerol, pH 7.3.
-
Preservative
- Sodium azide
-
Precaution of Use
- This product contains Sodium azide: a POISONOUS AND HAZARDOUS SUBSTANCE which should be handled by trained staff only.
-
Storage
- -20 °C,-80 °C
-
Storage Comment
- Upon receipt, store at -20°C or -80°C. Avoid repeated freeze.
-
-
- SHMT1 (serine Hydroxymethyltransferase 1 (Soluble) (SHMT1))
-
Alternative Name
- SHMT1
-
Background
-
Background: Interconversion of serine and glycine.
Aliases: CSHMT antibody, Cytoplasmic serine hydroxymethyltransferase antibody, cytosolic antibody, GLYC_HUMAN antibody, Glycine hydroxymethyltransferase antibody, Serine hydroxymethyltransferase 1 (soluble) antibody, Serine hydroxymethyltransferase antibody, Serine hydroxymethyltransferase, cytosolic antibody, Serine methylase antibody, SHMT antibody, Shmt1 antibody
-
UniProt
- P34896
Target
-