Phone:
+1 877 302 8632
Fax:
+1 888 205 9894 (Toll-free)
E-Mail:
orders@antibodies-online.com

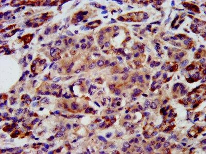
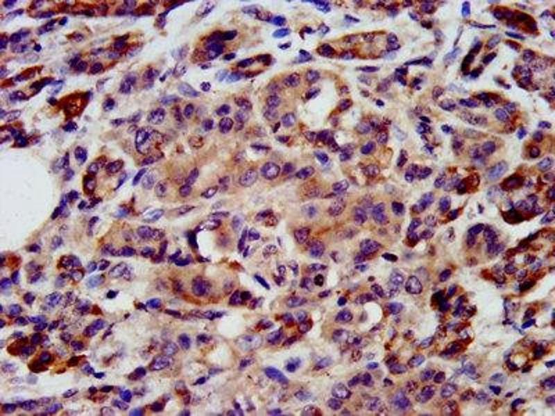
PON3 antibody (AA 269-335)

The Rabbit Polyclonal anti-PON3 antibody (ABIN7169389) specifically detects PON3 in ELISA and IHC. The antibody is reactive with Human samples.
Catalog No. ABIN7169389
$394.68
Plus shipping costs $50.00
Shipping to: United States
Delivery in 13 to 17 Business Days

Quick Overview for PON3 antibody (AA 269-335) (ABIN7169389)

Target

See all PON3 Antibodies
PON3 (Paraoxonase 3 (PON3))

Reactivity

  • 50
  • 11
  • 9
  • 4
  • 4
  • 4
  • 2
  • 2
  • 2
Human

Host

  • 45
  • 4
  • 1
  • 1
Rabbit

Clonality

  • 48
  • 3
Polyclonal

Conjugate

  • 28
  • 4
  • 3
  • 3
  • 1
  • 1
  • 1
  • 1
  • 1
  • 1
  • 1
  • 1
  • 1
  • 1
  • 1
  • 1
  • 1
This PON3 antibody is un-conjugated

Application

  • 46
  • 18
  • 15
  • 13
  • 13
  • 10
  • 7
  • 3
  • 3
  • 2
  • 1
  • 1
  • 1
ELISA, Immunohistochemistry (IHC)
  • Binding Specificity

    • 15
    • 8
    • 4
    • 4
    • 3
    • 2
    • 2
    • 1
    • 1
    • 1
    • 1
    • 1
    • 1
    • 1
    • 1
    • 1
    • 1
    AA 269-335

    Purpose

    PON3 Antibody

    Purification

    Protein G purified

    Purity

    >95 %

    Immunogen

    Recombinant Human Serum paraoxonase/lactonase 3 protein (269-335AA)

    Isotype

    IgG
  • Application Notes

    Optimal working dilution should be determined by the investigator.

    Restrictions

    For Research Use only
  • Format

    Liquid

    Buffer

    Preservative: 0.03 % Proclin 300
    Constituents: 50 % Glycerol, 0.01M PBS, pH 7.4

    Preservative

    ProClin

    Precaution of Use

    This product contains ProClin: a POISONOUS AND HAZARDOUS SUBSTANCE which should be handled by trained staff only.

    Storage

    -20 °C,-80 °C

    Storage Comment

    Upon receipt, store at -20°C or -80°C. Avoid repeated freeze.
  • Target

    PON3 (Paraoxonase 3 (PON3))

    Alternative Name

    PON3

    Background

    Background: Has low activity towards the organophosphate paraxon and aromatic carboxylic acid esters. Rapidly hydrolyzes lactones such as statin prodrugs (e.g. lovastatin). Hydrolyzes aromatic lactones and 5- or 6-member ring lactones with aliphatic substituents but not simple lactones or those with polar substituents.

    Aliases: 2810004E20 antibody, AI786302 antibody, MGC95026 antibody, Paraoxonase 3 antibody, Pon3 antibody, PON3_HUMAN antibody, Serum paraoxonase/lactonase 3 antibody

    UniProt

    Q15166

    Pathways

    Monocarboxylic Acid Catabolic Process
You are here:
Chat with us!