Phone:
+1 877 302 8632
Fax:
+1 888 205 9894 (Toll-free)
E-Mail:
orders@antibodies-online.com

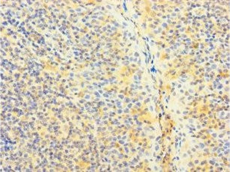
SNX22 antibody (AA 1-120)

The Rabbit Polyclonal anti-SNX22 antibody (ABIN7170373) specifically detects SNX22 in ELISA and IHC. The antibody is reactive with Human samples.
Catalog No. ABIN7170373
$394.68
Plus shipping costs $50.00
Shipping to: United States
Delivery in 13 to 17 Business Days

Quick Overview for SNX22 antibody (AA 1-120) (ABIN7170373)

Target

See all SNX22 Antibodies
SNX22 (Sorting Nexin 22 (SNX22))

Reactivity

  • 7
  • 2
  • 2
  • 2
  • 2
  • 2
  • 1
Human

Host

  • 7
Rabbit

Clonality

  • 7
Polyclonal

Conjugate

  • 3
  • 2
  • 1
  • 1
This SNX22 antibody is un-conjugated

Application

ELISA, Immunohistochemistry (IHC)
  • Binding Specificity

    • 4
    • 2
    • 1
    AA 1-120

    Purpose

    SNX22 Antibody

    Purification

    Protein G purified

    Purity

    >95 %

    Immunogen

    Recombinant Human Sorting nexin-22 protein (1-120AA)

    Isotype

    IgG
  • Application Notes

    Optimal working dilution should be determined by the investigator.

    Restrictions

    For Research Use only
  • Format

    Liquid

    Buffer

    Preservative: 0.03 % Proclin 300
    Constituents: 50 % Glycerol, 0.01M PBS, PH 7.4

    Preservative

    ProClin

    Precaution of Use

    This product contains ProClin: a POISONOUS AND HAZARDOUS SUBSTANCE which should be handled by trained staff only.

    Storage

    -20 °C,-80 °C

    Storage Comment

    Upon receipt, store at -20°C or -80°C. Avoid repeated freeze.
  • Target

    SNX22 (Sorting Nexin 22 (SNX22))

    Alternative Name

    SNX22

    Background

    Background: May be involved in several stages of intracellular trafficking (By similarity). Interacts with membranes containing phosphatidylinositol 3-phosphate (PtdIns(3P)).

    Aliases: SNX22 antibody, Sorting nexin-22 antibody

    UniProt

    Q96L94
You are here:
Chat with us!