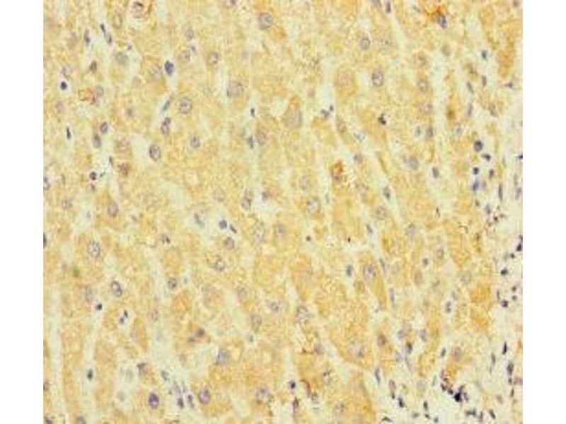
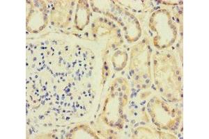
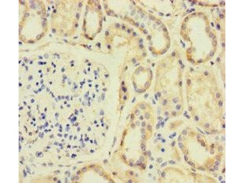
SPIN4 antibody (AA 1-249)
Quick Overview for SPIN4 antibody (AA 1-249) (ABIN7170610)
Target
Reactivity
Host
Clonality
Conjugate
Application
-
-
Binding Specificity
- AA 1-249
-
Purpose
- SPIN4 Antibody
-
Purification
- Protein G purified
-
Purity
- >95 %
-
Immunogen
- Recombinant Human Spindlin-4 protein (1-249AA)
-
Isotype
- IgG
-
-
-
-
Application Notes
- Optimal working dilution should be determined by the investigator.
-
Restrictions
- For Research Use only
-
-
-
Format
- Liquid
-
Buffer
-
Preservative: 0.03 % Proclin 300
Constituents: 50 % Glycerol, 0.01M PBS, PH 7.4 -
Preservative
- ProClin
-
Precaution of Use
- This product contains ProClin: a POISONOUS AND HAZARDOUS SUBSTANCE which should be handled by trained staff only.
-
Storage
- -20 °C,-80 °C
-
Storage Comment
- Upon receipt, store at -20°C or -80°C. Avoid repeated freeze.
-
-
- SPIN4 (Spindlin Family, Member 4 (SPIN4))
-
Alternative Name
- SPIN4
-
Background
- FLJ44984 antibody, RP11-93B10.1 antibody, SPIN4 antibody, SPIN4_HUMAN antibody, Spindlin family, member 4 antibody, Spindlin-4 antibody
-
UniProt
- Q56A73
Target
-