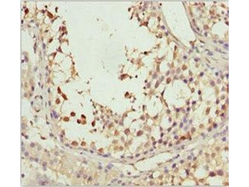
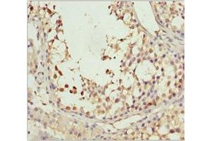
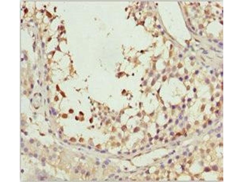
SPRED2 antibody (AA 120-300)
Quick Overview for SPRED2 antibody (AA 120-300) (ABIN7170649)
Target
See all SPRED2 AntibodiesReactivity
Host
Clonality
Conjugate
Application
-
-
Binding Specificity
- AA 120-300
-
Purpose
- SPRED2 Antibody
-
Purification
- Antigen Affinity Purified
-
Immunogen
- Recombinant Human Sprouty-related, EVH1 domain-containing protein 2 protein (120-300AA)
-
Isotype
- IgG
-
-
-
-
Application Notes
- Optimal working dilution should be determined by the investigator.
-
Restrictions
- For Research Use only
-
-
-
Format
- Liquid
-
Buffer
- PBS with 0.02 % sodium azide, 50 % glycerol, pH 7.3.
-
Preservative
- Sodium azide
-
Precaution of Use
- This product contains Sodium azide: a POISONOUS AND HAZARDOUS SUBSTANCE which should be handled by trained staff only.
-
Storage
- -20 °C,-80 °C
-
Storage Comment
- Upon receipt, store at -20°C or -80°C. Avoid repeated freeze.
-
-
- SPRED2 (Sprouty-Related, EVH1 Domain Containing 2 (SPRED2))
-
Alternative Name
- SPRED2
-
Background
-
Background: Tyrosine kinase substrate that inhibits growth-factor-mediated activation of MAP kinase.
Aliases: SPRED2 antibody, Sprouty-related antibody, EVH1 domain-containing protein 2 antibody, Spred-2 antibody
-
UniProt
- Q7Z698
Target
-