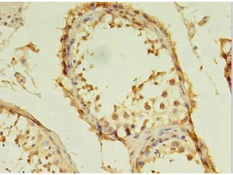
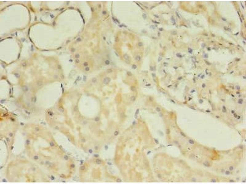
TSGA13 antibody (AA 1-275)
Quick Overview for TSGA13 antibody (AA 1-275) (ABIN7171830)
Target
Reactivity
Host
Clonality
Conjugate
Application
-
-
Binding Specificity
- AA 1-275
-
Purpose
- TSGA13 Antibody
-
Purification
- Protein G purified
-
Purity
- >95 %
-
Immunogen
- Recombinant Human Testis-specific gene 13 protein (1-275AA)
-
Isotype
- IgG
-
-
-
-
Application Notes
- Optimal working dilution should be determined by the investigator.
-
Restrictions
- For Research Use only
-
-
-
Format
- Liquid
-
Buffer
-
Preservative: 0.03 % Proclin 300
Constituents: 50 % Glycerol, 0.01M PBS, PH 7.4 -
Preservative
- ProClin
-
Precaution of Use
- This product contains ProClin: a POISONOUS AND HAZARDOUS SUBSTANCE which should be handled by trained staff only.
-
Storage
- -20 °C,-80 °C
-
Storage Comment
- Upon receipt, store at -20°C or -80°C. Avoid repeated freeze.
-
-
- TSGA13 (Testis Specific, 13 (TSGA13))
-
Alternative Name
- TSGA13
-
Background
-
Background: positive regulation of protein targeting to mitochondrion
Aliases: TSGA13 antibody, Testis-specific gene 13 protein antibody
-
UniProt
- Q96PP4
Target
-