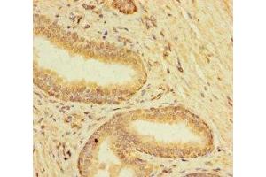
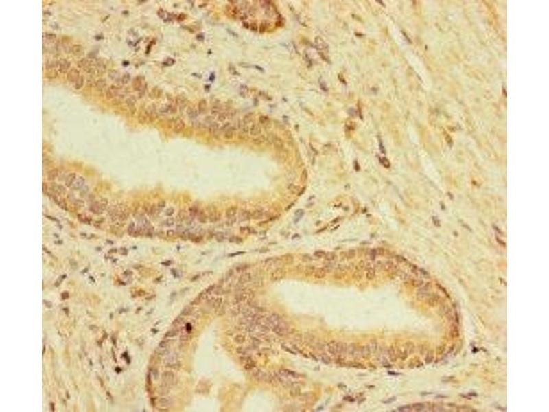
TMEM120B antibody (AA 1-101)
Quick Overview for TMEM120B antibody (AA 1-101) (ABIN7173039)
Target
Reactivity
Host
Clonality
Conjugate
Application
-
-
Binding Specificity
- AA 1-101
-
Purpose
- TMEM120B Antibody
-
Purification
- Protein G purified
-
Purity
- >95 %
-
Immunogen
- Recombinant Human Transmembrane protein 120B protein (1-101AA)
-
Isotype
- IgG
-
-
-
-
Application Notes
- Optimal working dilution should be determined by the investigator.
-
Restrictions
- For Research Use only
-
-
-
Format
- Liquid
-
Buffer
-
Preservative: 0.03 % Proclin 300
Constituents: 50 % Glycerol, 0.01M PBS, PH 7.4 -
Preservative
- ProClin
-
Precaution of Use
- This product contains ProClin: a POISONOUS AND HAZARDOUS SUBSTANCE which should be handled by trained staff only.
-
Storage
- -20 °C,-80 °C
-
Storage Comment
- Upon receipt, store at -20°C or -80°C. Avoid repeated freeze.
-
-
- TMEM120B (Transmembrane Protein 120B (TMEM120B))
-
Alternative Name
- TMEM120B
-
Background
-
Background: Necessary for efficient adipogenesis.
Aliases: T120B_HUMAN antibody, TMEM120B antibody, Transmembrane protein 120B antibody
-
UniProt
- A0PK00
Target
-