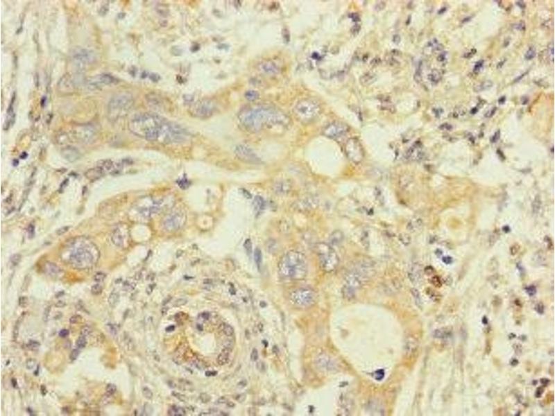
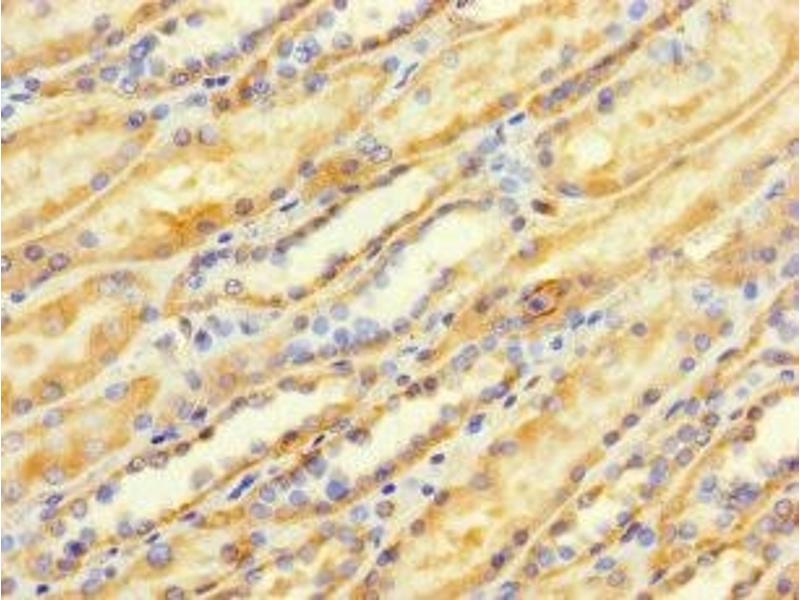
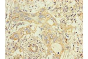
TMEM184B antibody (AA 311-407)
Quick Overview for TMEM184B antibody (AA 311-407) (ABIN7173107)
Target
See all TMEM184B AntibodiesReactivity
Host
Clonality
Conjugate
Application
-
-
Binding Specificity
- AA 311-407
-
Purpose
- TMEM184B Antibody
-
Purification
- Protein G purified
-
Purity
- >95 %
-
Immunogen
- Recombinant Human Transmembrane protein 184B protein (311-407AA)
-
Isotype
- IgG
-
-
-
-
Application Notes
- Optimal working dilution should be determined by the investigator.
-
Restrictions
- For Research Use only
-
-
-
Format
- Liquid
-
Buffer
-
Preservative: 0.03 % Proclin 300
Constituents: 50 % Glycerol, 0.01M PBS, PH 7.4 -
Preservative
- ProClin
-
Precaution of Use
- This product contains ProClin: a POISONOUS AND HAZARDOUS SUBSTANCE which should be handled by trained staff only.
-
Storage
- -20 °C,-80 °C
-
Storage Comment
- Upon receipt, store at -20°C or -80°C. Avoid repeated freeze.
-
-
- TMEM184B (Transmembrane Protein 184B (TMEM184B))
-
Alternative Name
- TMEM184B
-
Background
-
Background: May activate the MAP kinase signaling pathway.
Aliases: TMEM184B antibody, C22orf5 antibody, PSEC0108 antibody, Transmembrane protein 184B antibody, Putative MAPK-activating protein FM08 antibody
-
UniProt
- Q9Y519
Target
-