Phone:
+1 877 302 8632
Fax:
+1 888 205 9894 (Toll-free)
E-Mail:
orders@antibodies-online.com

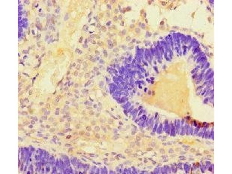
TMEM207 antibody (AA 73-146)

The Rabbit Polyclonal anti-TMEM207 antibody is suitable to detect TMEM207 in samples from Human. It has been validated for ELISA, IHC and IF.
Catalog No. ABIN7173135
$394.68
Plus shipping costs $50.00
Shipping to: United States
Delivery in 13 to 17 Business Days

Quick Overview for TMEM207 antibody (AA 73-146) (ABIN7173135)

Target

TMEM207 (Transmembrane Protein 207 (TMEM207))

Reactivity

Human

Host

  • 7
Rabbit

Clonality

  • 7
Polyclonal

Conjugate

  • 2
  • 2
  • 2
  • 1
This TMEM207 antibody is un-conjugated

Application

ELISA, Immunohistochemistry (IHC), Immunofluorescence (IF)
  • Binding Specificity

    AA 73-146

    Purpose

    TMEM207 Antibody

    Purification

    Protein G purified

    Purity

    >95 %

    Immunogen

    Recombinant Human Transmembrane protein 207 protein (73-146AA)

    Isotype

    IgG
  • Application Notes

    Optimal working dilution should be determined by the investigator.

    Restrictions

    For Research Use only
  • Format

    Liquid

    Buffer

    Preservative: 0.03 % Proclin 300
    Constituents: 50 % Glycerol, 0.01M PBS, PH 7.4

    Preservative

    ProClin

    Precaution of Use

    This product contains ProClin: a POISONOUS AND HAZARDOUS SUBSTANCE which should be handled by trained staff only.

    Storage

    -20 °C,-80 °C

    Storage Comment

    Upon receipt, store at -20°C or -80°C. Avoid repeated freeze.
  • Target

    TMEM207 (Transmembrane Protein 207 (TMEM207))

    Alternative Name

    TMEM207

    Background

    SRSR846 antibody, TM207_HUMAN antibody, Tmem207 antibody, Transmembrane protein 207 antibody, UNQ846 antibody

    UniProt

    Q6UWW9
You are here:
Chat with us!