×
For best experience we recommend to activate Javascript in your browser.
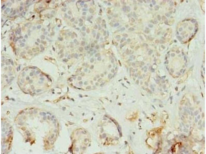
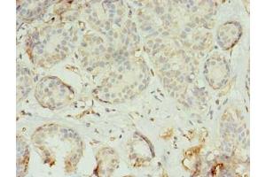
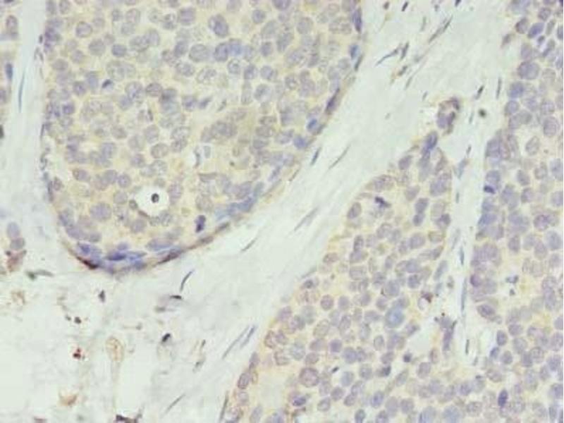
TMEM45A antibody (AA 171-217)
The Rabbit Polyclonal anti-TMEM45A antibody is suitable to detect TMEM45A in samples from Human. It has been validated for ELISA, IHC and IF.
Catalog No. ABIN7173225
$394.68
Plus shipping costs $50.00
50 μg ABIN7349331
100 μg ABIN7173225
50 μg ABIN7349331
100 μg ABIN7173225
Delivery in 13 to 17 Business Days
Quick Overview for TMEM45A antibody (AA 171-217) (ABIN7173225)
Target
TMEM45A
(Transmembrane Protein 45A (TMEM45A))
Reactivity
All reactivities for TMEM45A antibodies
Human
Host
All hosts for TMEM45A antibodies
Rabbit
Clonality
All clonalities for TMEM45A antibodies
Polyclonal
Conjugate
All conjugates for TMEM45A antibodies
This TMEM45A antibody is un-conjugated
Application
ELISA, Immunohistochemistry (IHC), Immunofluorescence (IF)
Product Details anti-TMEM45A Antibody
(hide)
Binding Specificity
AA 171-217
Purpose
TMEM45A Antibody
Purification
Protein G purified
Purity
>95 %
Immunogen
Recombinant Human Transmembrane protein 45A protein (171-217AA)
Isotype
IgG
Alternatives
(show)
Application Details
(hide)
Application Notes
Optimal working dilution should be determined by the investigator.
Restrictions
For Research Use only
Handling
(hide)
Format
Liquid
Buffer
Preservative: 0.03 % Proclin 300 Constituents: 50 % Glycerol, 0.01M PBS, PH 7.4
Preservative
ProClin
Precaution of Use
This product contains ProClin: a POISONOUS AND HAZARDOUS SUBSTANCE which should be handled by trained staff only.
Storage
-20 °C,-80 °C
Storage Comment
Upon receipt, store at -20°C or -80°C. Avoid repeated freeze.
Target Details for TMEM45A
(hide)
Target
TMEM45A
(Transmembrane Protein 45A (TMEM45A))
Alternative Name
TMEM45A
Background
TMEM45A antibody, DERP7 antibody, DNAPTP4 antibody, Transmembrane protein 45A antibody, DNA polymerase-transactivated protein 4 antibody, Dermal papilla-derived protein 7 antibody
UniProt
Q9NWC5
Recently viewed
(hide)
You are here:
Homepage
anti-TMEM45A antibody (AA 171-217) (ABIN7173225)
Chat with us , powered by LiveChat